The HRH4 Antibody (CAB10151) is a high-quality antibody developed for reliable detection and analysis of target proteins. Histamine is a ubiquitous messenger molecule released from mast cells, enterochromaffin-like cells, and neurons. Its various actions are mediated by a family of histamine receptors, which are a subset of the G-protein coupled receptor superfamily. This gene encodes a histamine receptor that is predominantly expressed in haematopoietic cells. The protein is thought to play a role in inflammation and allergy reponses. Multiple transcript variants encoding different isoforms have been found for this gene.
This antibody is validated for use in WB, ELISA applications and has demonstrated reactivity against Human, Mouse, Rat samples.
Product Name:
HRH4 Antibody
SKU:
CAB10151
Size:
100μL, 20μL
Reactivity:
Human, Mouse, Rat
Conjugate:
Unconjugated
Immunogen:
Recombinant protein (or fragment).This information is considered to be commercially sensitive.
Tested Applications:
WBELISA
Recommended Dilution:
WB
1:1000 - 1:4000
ELISA
Recommended starting concentration is 1 μg/mL. Please optimize the concentration based on your specific assay requirements.
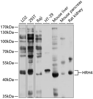
LO2, 293T, Raji, HT-29, Mouse liver, Mouse pancreas, Rat kidney
Cellular Localization:
Cell Membrane, Multi-Pass Membrane Protein.
Calculated MW:
44kDa
Observed MW:
44kDa
Histamine is a ubiquitous messenger molecule released from mast cells, enterochromaffin-like cells, and neurons. Its various actions are mediated by a family of histamine receptors, which are a subset of the G-protein coupled receptor superfamily. This gene encodes a histamine receptor that is predominantly expressed in haematopoietic cells. The protein is thought to play a role in inflammation and allergy reponses. Multiple transcript variants encoding different isoforms have been found for this gene.
Purification Method
Affinity purification
Gene ID
59340
RRID
AB_2757679
Buffer Information
Store at -20℃. Avoid freeze / thaw cycles. Buffer: PBS containing 50% glycerol, preserved with proclin300 or sodium azide, pH 7.3.
Western blot analysis of various lysates using HRH4 Rabbit pAb (CAB10151) at 1:1000 dilution. Secondary antibody: HRP-conjugated Goat anti-Rabbit IgG (H+L) (AS014) at 1:10000 dilution. Lysates/proteins: 25μg per lane. Blocking buffer: 3% nonfat dry milk in TBST. Detection: ECL Basic Kit (AbGn00020). Exposure time: 1s.