The BiP/GRP78 Antibody (CAB0241) is a high-quality antibody developed for reliable detection and analysis of target proteins. The protein encoded by this gene is a member of the heat shock protein 70 (HSP70) family. This protein localizes to the lumen of the endoplasmic reticulum (ER) where it operates as a typical HSP70 chaperone involved in the folding and assembly of proteins in the ER and is a master regulator of ER homeostasis. During cellular stress, as during viral infection or tumorogenesis, this protein interacts with the transmembrane stress sensor proteins PERK (protein kinase R-like endoplasmic reticulum kinase), IRE1 (inositol-requiring kinase 1), and ATF6 (activating transcription factor 6) where it acts as a repressor of the unfolded protein response (UPR) and also plays a role in cellular apoptosis and senescence. Elevated expression and atypical translocation of this protein to the cell surface has been reported in viral infections and some types of cancer cells. At the cell surface this protein may facilitate viral attachment and entry to host cells. This gene is a therapeutic target for the treatment of coronavirus diseases and chemoresistant cancers.
This antibody is validated for use in WB, IHC-P, ELISA applications and has demonstrated reactivity against Human, Mouse, Rat samples.
Product Name:
BiP/GRP78 Antibody
SKU:
CAB0241
Size:
100μL, 20μL
Reactivity:
Human, Mouse, Rat
Conjugate:
Unconjugated
Immunogen:
Synthetic peptide. This information is considered to be commercially sensitive.
Tested Applications:
WBIHC-PELISA
Recommended Dilution:
WB
1:500 - 1:5000
IHC-P
1:50 - 1:200
ELISA
Recommended starting concentration is 1 μg/mL. Please optimize the concentration based on your specific assay requirements.
Synonyms:
BIP, GRP78, HEL-S-89n, BiP/GRP78
Positive Sample:
HeLa, Mouse liver, Mouse placenta, Rat liver, Rat lung
The protein encoded by this gene is a member of the heat shock protein 70 (HSP70) family. This protein localizes to the lumen of the endoplasmic reticulum (ER) where it operates as a typical HSP70 chaperone involved in the folding and assembly of proteins in the ER and is a master regulator of ER homeostasis. During cellular stress, as during viral infection or tumorogenesis, this protein interacts with the transmembrane stress sensor proteins PERK (protein kinase R-like endoplasmic reticulum kinase), IRE1 (inositol-requiring kinase 1), and ATF6 (activating transcription factor 6) where it acts as a repressor of the unfolded protein response (UPR) and also plays a role in cellular apoptosis and senescence. Elevated expression and atypical translocation of this protein to the cell surface has been reported in viral infections and some types of cancer cells. At the cell surface this protein may facilitate viral attachment and entry to host cells. This gene is a therapeutic target for the treatment of coronavirus diseases and chemoresistant cancers.
Purification Method
Affinity purification
Gene ID
3309
RRID
AB_2757054
Buffer Information
Store at -20℃. Avoid freeze / thaw cycles. Buffer: PBS containing 50% glycerol, preserved with proclin300 or sodium azide, pH 7.3.
Western blot analysis of various lysates, using BiP/GRP78 Rabbit pAb (CAB0241) at 1:1000 dilution. Secondary antibody: HRP-conjugated Goat anti-Rabbit IgG (H+L) (AS014) at 1:10000 dilution. Lysates/proteins: 25μg per lane. Blocking buffer: 3% nonfat dry milk in TBST. Detection: ECL Basic Kit (AbGn00020). Exposure time: 60s.
Western blot analysis of various lysates, using BiP/GRP78 Rabbit pAb (CAB0241) at 1:1000 dilution. Secondary antibody: HRP-conjugated Goat anti-Rabbit IgG (H+L) (AS014) at 1:10000 dilution. Lysates/proteins: 25μg per lane. Blocking buffer: 3% nonfat dry milk in TBST. Detection: ECL Basic Kit (AbGn00020). Exposure time: 60s.
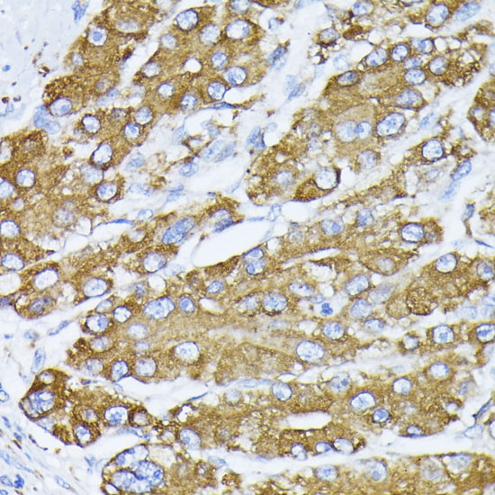
Immunohistochemistry analysis of paraffin-embedded Human liver cancer using BiP/GRP78 Rabbit pAb (CAB0241) at dilution of 1:100 (40x lens). Microwave antigen retrieval performed with 0.01M PBS Buffer (pH 7.2) prior to IHC staining.
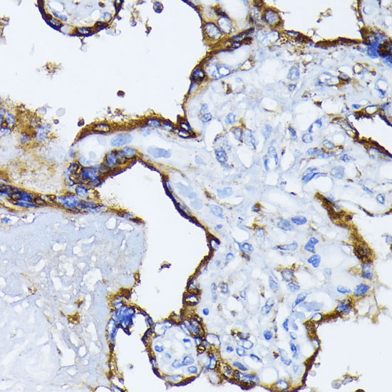
Immunohistochemistry analysis of paraffin-embedded Human placenta using BiP/GRP78 Rabbit pAb (CAB0241) at dilution of 1:100 (40x lens). Microwave antigen retrieval performed with 0.01M PBS Buffer (pH 7.2) prior to IHC staining.