The HTR1D Antibody (CAB1726) is a high-quality antibody developed for reliable detection and analysis of target proteins. Enables G protein-coupled serotonin receptor activity. Involved in adenylate cyclase-inhibiting G protein-coupled receptor signaling pathway and intestine smooth muscle contraction. Is integral component of plasma membrane.
This antibody is validated for use in WB, ELISA applications and has demonstrated reactivity against Human, Mouse, Rat samples.
Product Name:
HTR1D Antibody
SKU:
CAB1726
Size:
100μL, 20μL
Reactivity:
Human, Mouse, Rat
Conjugate:
Unconjugated
Immunogen:
Synthetic peptide. This information is considered to be commercially sensitive.
Tested Applications:
WBELISA
Recommended Dilution:
WB
1:500 - 1:2000
ELISA
Recommended starting concentration is 1 μg/mL. Please optimize the concentration based on your specific assay requirements.
Synonyms:
HTRL, RDC4, HT1DA, 5-HT1D, HTR1DA, HTR1D
Positive Sample:
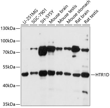
U-251MG, SGC-7901, SH-SY5Y, Mouse brain, Mouse testis, Mouse stomach, Rat brain, Rat testis
Cellular Localization:
Cell Membrane, Multi-Pass Membrane Protein.
Calculated MW:
42kDa
Observed MW:
50kDa
Enables G protein-coupled serotonin receptor activity. Involved in adenylate cyclase-inhibiting G protein-coupled receptor signaling pathway and intestine smooth muscle contraction. Is integral component of plasma membrane.
Purification Method
Affinity purification
Gene ID
3352
RRID
AB_2763776
Buffer Information
Store at -20℃. Avoid freeze / thaw cycles. Buffer: PBS with 0.01% thimerosal,50% glycerol,pH7.3.
Western blot analysis of various lysates using HTR1D Rabbit pAb (CAB1726) at 1:1000 dilution. Secondary antibody: HRP-conjugated Goat anti-Rabbit IgG (H+L) (AS014) at 1:10000 dilution. Lysates/proteins: 25μg per lane. Blocking buffer: 3% nonfat dry milk in TBST. Detection: ECL Basic Kit (AbGn00020). Exposure time: 10s.