The Hypm Polyclonal Antibody (PAC026061) is an essential tool for researchers studying the hypm protein, which is involved in immune regulation and immune responses. This antibody, produced in rabbits, is highly specific to human samples and has been validated for use in Western blot applications. It binds specifically to the hypm protein, allowing for accurate detection and analysis in a variety of cell types, making it an invaluable tool for studies in immunology and cancer research.The hypm protein, also known as an immune regulatory molecule, plays a crucial role in maintaining immune balance by regulating inflammatory responses and suppressing allergic reactions.
Its role in immune response modulation makes it a promising target for research into diseases such as cancer, autoimmune disorders, and chronic inflammatory conditions. Understanding the function of the hypm protein is essential for the development of therapies that can manipulate immune responses in these disease contexts.
Antibody Name:
HYPM Antibody (PACO26061)
Antibody SKU:
PACO26061
Size:
50ug
Host Species:
Rabbit
Tested Applications:
ELISA, IHC
Recommended Dilutions:
ELISA:1:2000-1:10000, IHC:1:20-1:200
Species Reactivity:
Human
Immunogen:
Recombinant Human Huntingtin-interacting protein M protein (1-117AA)
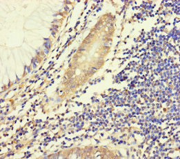
Immunohistochemistry of paraffin-embedded human colon cancer using PACO26061 at dilution of 1:100.
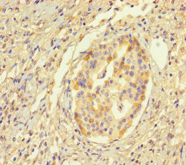
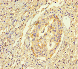
Immunohistochemistry of paraffin-embedded human pancreatic cancer using PACO26061 at dilution of 1:100.
Background:
nuclear chromatin, DNA binding, chromatin organization, chromatin silencing
Synonyms:
Huntingtin-interacting protein M (Huntingtin yeast partner M), HYPM, CXorf27
UniProt Protein Function:
HYPM: May interact with the N-terminus of HD.Chromosomal Location of Human Ortholog: Xp21.1Cellular Component: nuclear chromatinMolecular Function: DNA binding; protein binding; protein heterodimerization activityBiological Process: chromatin silencing
UniProt Protein Details:
NCBI Summary:
This gene encodes a protein shown to interact with huntingtin, which contains an expanded polyglutamine tract in individuals with Huntington's disease (PMID: 9700202). [provided by RefSeq, Aug 2011]