The IFT57 Polyclonal Antibody (CAB7191) is a valuable tool for researchers studying IFT57, a key protein involved in intraflagellar transport (IFT) within cells. This antibody, raised in rabbits, is highly specific for human samples and has been validated for use in Western blot applications. By targeting the IFT57 protein, this antibody enables accurate detection and analysis in various cell types, making it ideal for investigations in cellular biology and ciliary function.IFT57 is a crucial component of the IFT complex, which is responsible for transporting proteins along cilia, hair-like structures on the surface of cells. Dysregulation of IFT proteins like IFT57 can lead to defects in ciliary function, impacting cellular signaling and development.
Understanding the role of IFT57 in cellular processes is essential for unraveling the mechanisms underlying cilia-related disorders, such as ciliopathies and certain genetic syndromes.The IFT57 Polyclonal Antibody offers researchers a reliable tool for studying the function and localization of IFT57 in various cell types, shedding light on its role in ciliary transport and cellular homeostasis. By elucidating the molecular pathways involving IFT57, scientists can gain insights into ciliary biology and potentially uncover new therapeutic targets for ciliopathies and other cilia-related disorders.
Product Name:
IFT57 Rabbit Polyclonal Antibody
SKU:
CAB7191
Size:
20uL, 100uL
Isotype:
IgG
Host Species:
Rabbit
Reactivity:
Human,Mouse,Rat
Immunogen:
Recombinant fusion protein containing a sequence corresponding to amino acids 170-429 of human IFT57 (NP_060480.1).
Predicted to enable DNA binding activity. Acts upstream of or within activation of cysteine-type endopeptidase activity involved in apoptotic process; apoptotic process; and regulation of apoptotic process. Predicted to be located in ciliary basal body. Predicted to be part of axoneme and intraciliary transport particle B. Predicted to be active in Golgi apparatus; centrosome; and cilium. Implicated in orofaciodigital syndrome.
Purification Method:
Affinity purification
Gene ID:
55081
Storage Buffer:
Store at -20℃. Avoid freeze / thaw cycles.Buffer: PBS with 0.02% sodium azide,50% glycerol,pH7.3.
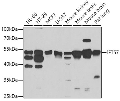
Western blot analysis of extracts of various cell lines, using IFT57 antibody (CAB7191) at 1:1000 dilution.Secondary antibody: HRP Goat Anti-Rabbit IgG (H+L) (CABS014) at 1:10000 dilution.Lysates/proteins: 25μg per lane.Blocking buffer: 3% nonfat dry milk in TBST.Detection: ECL Basic Kit (AbGn00020).Exposure time: 90s.