The IKKbeta Monoclonal Antibody (CAB22425) is a high-quality antibody developed for reliable detection and analysis of target proteins. The protein encoded by this gene phosphorylates the inhibitor in the inhibitor/NF-kappa-B complex, causing dissociation of the inhibitor and activation of NF-kappa-B. The encoded protein itself is found in a complex of proteins. Several transcript variants, some protein-coding and some not, have been found for this gene. RRID Gene ID 3551 Swiss Prot Synonym IKK2; IKKB; IMD15; IMD15A; IMD15B; NFKBIKB; IKK-beta; IKKβ
This antibody is validated for use in WB, IHC-P, ELISA applications and has demonstrated reactivity against Human samples.
Product Name:
IKKbeta Monoclonal Antibody
SKU:
CAB22425
Size:
100μL, 20μL
Reactivity:
Human
Clone Number:
ARC0085
Conjugate:
Unconjugated
Immunogen:
Synthetic peptide. This information is considered to be commercially sensitive.
Tested Applications:
WBIHC-PELISA
Recommended Dilution:
WB
1:500 - 1:2000
IHC-P
1:50 - 1:200
ELISA
Recommended starting concentration is 1 μg/mL. Please optimize the concentration based on your specific assay requirements.
The protein encoded by this gene phosphorylates the inhibitor in the inhibitor/NF-kappa-B complex, causing dissociation of the inhibitor and activation of NF-kappa-B. The encoded protein itself is found in a complex of proteins. Several transcript variants, some protein-coding and some not, have been found for this gene. RRID Gene ID 3551 Swiss Prot Synonym IKK2; IKKB; IMD15; IMD15A; IMD15B; NFKBIKB; IKK-beta; IKKβ
Purification Method:
Affinity purification
Gene ID:
3551
RRID:
-
Buffer Information:
Store at -20℃. Avoid freeze / thaw cycles. Buffer: PBS containing 50% glycerol and 0.05% BSA, preserved with proclin300 or sodium azide, pH 7.3.
Western blot analysis of various lysates using IKKβ Rabbit mAb (CAB22425) at 1:1000 dilution. Secondary antibody: HRP-conjugated Goat anti-Rabbit IgG (H+L) (AS014) at 1:10000 dilution. Lysates/proteins: 25μg per lane. Blocking buffer: 3% nonfat dry milk in TBST. Detection: ECL Basic Kit (AbGn00020). Exposure time: 1s.
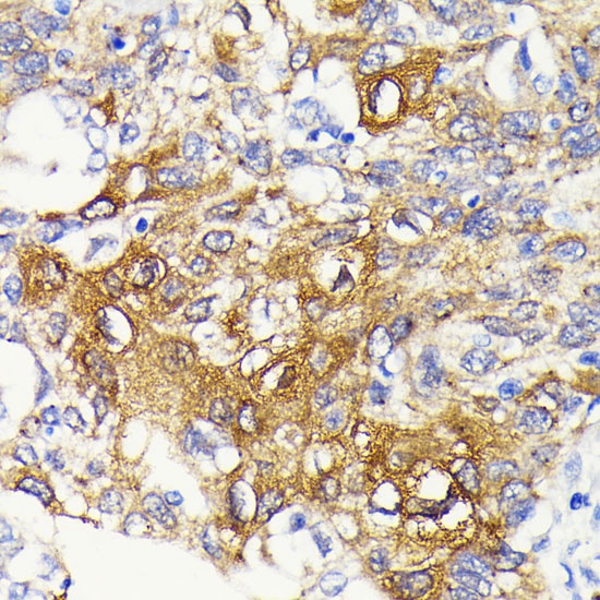
Immunohistochemistry analysis of paraffin-embedded Human lung cancer using IKKβ Rabbit mAb (CAB22425) at dilution of 1:100 (40x lens). Microwave antigen retrieval performed with 0.01M PBS Buffer (pH 7.2) prior to IHC staining.