KBTBD6 Antibody is a premium polyclonal that offers outstanding performance and reliability for demanding research applications. Rigorously validated for ELISA, WB, IHC, IF, this antibody ensures consistent, reproducible results across multiple experimental platforms. Demonstrates excellent reactivity with Human samples, providing researchers with confidence in cross-species compatibility. Conveniently packaged in 50ug format to meet your experimental needs. For optimal performance, store at -20°C or -80°C and maintains stability for 12 months. Backed by rigorous quality control testing to ensure superior performance in your critical research applications.
Product Name:
KBTBD6 Antibody (PACO48670)
SKU:
PACO48670
Size:
50μg
Isotype:
IgG
Host Species:
Rabbit
Reactivity:
Human
Immunogen:
Recombinant Human Kelch repeat and BTB domain-containing protein 6 protein (1-139AA)
Immunogen Species:
Homo sapiens (Human)
Uniprot No:
Q86V97
Form:
Liquid
Tested Applications:
ELISAWBIHCIF
Recommended Dilution:
WB 1:500-1:5000, IHC 1:20-1:200, IF 1:50-1:200
Synonyms:
KBTB6_HUMAN antibody, KBTBD6 antibody, Kelch repeat and BTB (POZ) domain containing 6 antibody, Kelch repeat and BTB domain-containing protein 6 antibody
Western Blot Positive WB detected in: Hela whole cell lysate All lanes: KBTBD6 antibody at 3.4µg/ml Secondary Goat polyclonal to rabbit IgG at 1/50000 dilution Predicted band size: 77 kDa Observed band size: 77 kDa
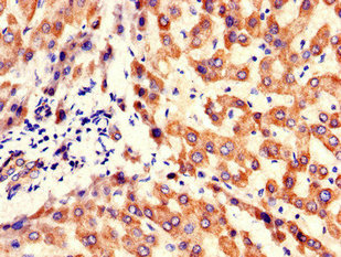
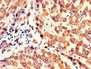
Immunohistochemistry of paraffin-embedded human liver tissue using PACO48670 at dilution of 1:100
Immunofluorescent analysis of Hela cells using PACO48670 at dilution of 1:100 and Alexa Fluor 488-congugated AffiniPure Goat Anti-Rabbit IgG(H+L)