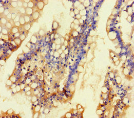
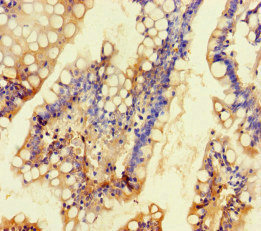
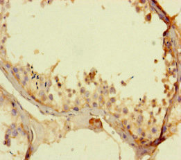
KCNK16 Antibody is a premium polyclonal that offers outstanding performance and reliability for demanding research applications. Rigorously validated for ELISA, IHC, this antibody ensures consistent, reproducible results across multiple experimental platforms. Demonstrates excellent reactivity with Human samples, providing researchers with confidence in cross-species compatibility. Conveniently packaged in 50ug format to meet your experimental needs. For optimal performance, store at -20°C or -80°C and maintains stability for 12 months. Backed by rigorous quality control testing to ensure superior performance in your critical research applications.
Product Name:
KCNK16 Antibody (PACO46958)
SKU:
PACO46958
Size:
50μg
Isotype:
IgG
Host Species:
Rabbit
Reactivity:
Human
Immunogen:
Recombinant Human Potassium channel subfamily K member 16 protein (259-309AA)
Immunogen Species:
Homo sapiens (Human)
Uniprot No:
Q96T55
Form:
Liquid
Tested Applications:
ELISAIHC
Recommended Dilution:
IHC 1:20-1:200
Synonyms:
KCNK16, TALK1, Potassium channel subfamily K member 16, 2P domain potassium channel Talk-1, TWIK-related alkaline pH-activated K(+ channel 1, TALK-1