The CDK6 Polyclonal Antibody (CAB1545) is a high-quality antibody developed for reliable detection and analysis of target proteins. The protein encoded by this gene is a member of the CMGC family of serine/threonine protein kinases. This kinase is a catalytic subunit of the protein kinase complex that is important for cell cycle G1 phase progression and G1/S transition. The activity of this kinase first appears in mid-G1 phase, which is controlled by the regulatory subunits including D-type cyclins and members of INK4 family of CDK inhibitors. This kinase, as well as CDK4, has been shown to phosphorylate, and thus regulate the activity of, tumor suppressor protein Rb. Altered expression of this gene has been observed in multiple human cancers. A mutation in this gene resulting in reduced cell proliferation, and impaired cell motility and polarity, and has been identified in patients with primary microcephaly.
This antibody is validated for use in WB, IHC-P, IF/ICC, IP, ELISA applications and has demonstrated reactivity against Human, Mouse samples.
Product Name:
CDK6 Polyclonal Antibody
SKU:
CAB1545
Size:
100μL, 20μL
Reactivity:
Human, Mouse
Conjugate:
Unconjugated
Immunogen:
Recombinant protein (or fragment).This information is considered to be commercially sensitive.
Tested Applications:
WBIHC-PIF/ICCIPELISA
Recommended Dilution:
WB
1:500 - 1:1000
IHC-P
1:50 - 1:200
IF/ICC
1:50 - 1:200
IP
0.5μg-4μg antibody for 200μg-400μg extracts of whole cells
ELISA
Recommended starting concentration is 1 μg/mL. Please optimize the concentration based on your specific assay requirements.
Synonyms:
MCPH12, PLSTIRE, CDK6
Positive Sample:
HeLa
Cellular Localization:
Cell Projection, Cytoplasm, Nucleus, Centrosome, Cytoskeleton, Microtubule Organizing Center, Ruffle.
Calculated MW:
37kDa
Observed MW:
40kDa
The protein encoded by this gene is a member of the CMGC family of serine/threonine protein kinases. This kinase is a catalytic subunit of the protein kinase complex that is important for cell cycle G1 phase progression and G1/S transition. The activity of this kinase first appears in mid-G1 phase, which is controlled by the regulatory subunits including D-type cyclins and members of INK4 family of CDK inhibitors. This kinase, as well as CDK4, has been shown to phosphorylate, and thus regulate the activity of, tumor suppressor protein Rb. Altered expression of this gene has been observed in multiple human cancers. A mutation in this gene resulting in reduced cell proliferation, and impaired cell motility and polarity, and has been identified in patients with primary microcephaly.
Purification Method
Affinity purification
Gene ID
1021
RRID
AB_2861718
Buffer Information
Store at -20℃. Avoid freeze / thaw cycles. Buffer: PBS containing 50% glycerol, preserved with proclin300 or sodium azide, pH 7.3.
Western blot analysis of lysates from HeLa cells, using CDK6 Rabbit pAb (CAB1545) at 1:900 dilution. Secondary antibody: HRP-conjugated Goat anti-Rabbit IgG (H+L) (AS014) at 1:10000 dilution. Lysates/proteins: 25μg per lane. Blocking buffer: 3% nonfat dry milk in TBST. Detection: ECL Enhanced Kit (AbGn00021). Exposure time: 30s.
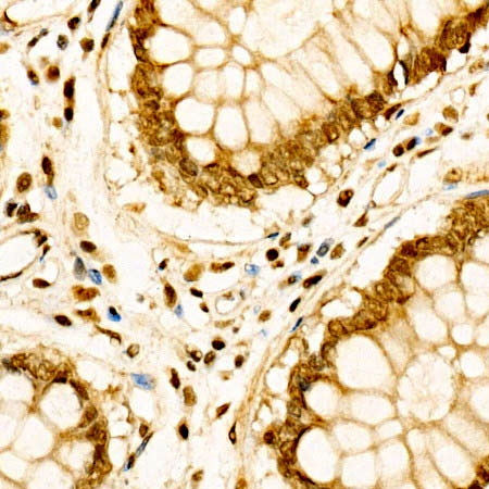
Immunohistochemistry analysis of paraffin-embedded Human colon carcinoma using CDK6 Rabbit pAb (CAB1545) at dilution of 1:100 (40x lens). High pressure antigen retrieval performed with 0.01M Citrate buffer (pH 6.0) prior to IHC staining.