The L3HYPDH Antibody (PACO39306) is a polyclonal antibody specifically designed for research involving L3HYPDH, a key enzyme in the metabolic pathway of lysine degradation. This antibody, produced in rabbits, exhibits high reactivity with human samples and has been validated for use in Western blot applications.L3HYPDH plays a crucial role in the breakdown of lysine, an important amino acid involved in protein synthesis and various metabolic processes. Dysregulation of the lysine degradation pathway has been implicated in various metabolic disorders and diseases, making L3HYPDH a target of interest in research.
By enabling the detection and analysis of L3HYPDH protein expression in different cell types, the L3HYPDH Antibody is a valuable tool for studies in biochemistry, metabolism, and related fields. Understanding the function and regulation of L3HYPDH can provide insights into lysine metabolism and its implications in health and disease.
Western blot. All lanes: L3HYPDH antibody at 8µg/ml. Lane 1: HepG2 whole cell lysate. Lane 2: A549 whole cell lysate. Secondary. Goat polyclonal to rabbit IgG at 1/10000 dilution. Predicted band size: 39 kDa. Observed band size: 39 kDa.
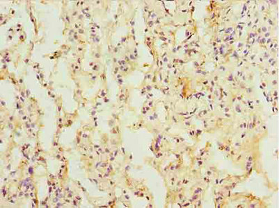
Immunohistochemistry of paraffin-embedded human lung cancer using PACO39306 at dilution of 1:100.
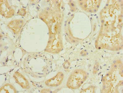
Immunohistochemistry of paraffin-embedded human kidney tissue using PACO39306 at dilution of 1:100.
Background:
Catalyzes the dehydration of trans-3-hydroxy-L-proline to Delta(1)-pyrroline-2-carboxylate (Pyr2C). May be required to degrade trans-3-hydroxy-L-proline from the diet and originating from the degradation of proteins such as collagen-IV that contain it.
L3HYPDH: Catalyzes the dehydration of trans-3-hydroxy-L-proline to delta-1-pyrroline-2-carboxylate (Pyr2C). May be required to degrade trans-3-hydroxy-L-proline from the diet and originating from the degradation of proteins such as collagen-IV that contain it. Belongs to the proline racemase family.Protein type: Isomerase; EC 4.2.1.77Chromosomal Location of Human Ortholog: 14q23.1Molecular Function: hydro-lyase activity; proline racemase activity; trans-L-3-hydroxyproline dehydratase activityBiological Process: metabolic process