null

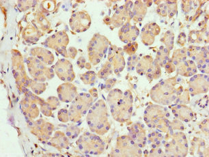
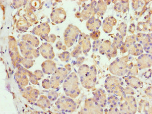
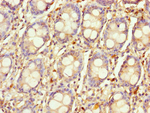
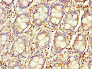
LYG1 Antibody (PACO39066)

(No reviews yet) Write a Review
SKU:
PACO39066
Product Type:
Antibody
Reactivity:
Human
Host Species:
Rabbit
Isotype:
IgG
Applications:
ELISA
IHC
Antibody Type:
Polyclonal Antibody
Conjugation:
Unconjugated
  • LYG1 Antibody PACO39066
  • LYG1 Antibody PACO39066
€291
Frequently bought together:

Description

system_update_altDatasheetsystem_update_altMSDS

LYG1 Antibody (PACO39066)

LYG1 Antibody is a premium polyclonal that offers outstanding performance and reliability for demanding research applications. Rigorously validated for ELISA, IHC, this antibody ensures consistent, reproducible results across multiple experimental platforms. Demonstrates excellent reactivity with Human samples, providing researchers with confidence in cross-species compatibility. Conveniently packaged in 50ug format to meet your experimental needs. For optimal performance, store at -20°C or -80°C and maintains stability for 12 months. Backed by rigorous quality control testing to ensure superior performance in your critical research applications.

0 Reviews

View AllClose