MECOM Antibody is a premium polyclonal that offers outstanding performance and reliability for demanding research applications. Rigorously validated for ELISA, IHC, this antibody ensures consistent, reproducible results across multiple experimental platforms. Demonstrates excellent reactivity with Human samples, providing researchers with confidence in cross-species compatibility. Conveniently packaged in 50ug format to meet your experimental needs. For optimal performance, store at -20°C or -80°C and maintains stability for 12 months. Backed by rigorous quality control testing to ensure superior performance in your critical research applications.
Product Name:
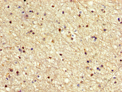
MECOM Antibody (PACO55906)
SKU:
PACO55906
Size:
50μg
Isotype:
IgG
Host Species:
Rabbit
Reactivity:
Human
Immunogen:
Recombinant Human Histone-lysine N-methyltransferase MECOM protein (534-632AA)
Immunogen Species:
Homo sapiens (Human)
Uniprot No:
Q03112
Form:
Liquid
Tested Applications:
ELISAIHC
Recommended Dilution:
IHC 1:500-1:1000
Synonyms:
MECOM antibody, EVI1 antibody, MDS1 antibody, PRDM3 antibody, Histone-lysine N-methyltransferase MECOM antibody, EC 2.1.1.- antibody, Ecotropic virus integration site 1 protein homolog antibody, EVI-1 antibody, MDS1 and EVI1 complex locus protein antibody, Myelodysplasia syndrome 1 protein antibody, Myelodysplasia syndrome-associated protein 1 antibody
IHC image of PACO55906 diluted at 1:500 and staining in paraffin-embedded human brain tissue performed on a Leica BondTM system. After dewaxing and hydration, antigen retrieval was mediated by high pressure in a citrate buffer (pH 6.0). Section was blocked with 10% normal goat serum 30min at RT. Then primary antibody (1% BSA) was incubated at 4°C overnight. The primary is detected by a biotinylated secondary antibody and visualized using an HRP conjugated SP system.