The METTL14 Antibody (CAB8530) is a high-quality antibody developed for reliable detection and analysis of target proteins. Enables mRNA binding activity. Contributes to mRNA (2'-O-methyladenosine-N6-)-methyltransferase activity. Involved in mRNA metabolic process; negative regulation of hematopoietic progenitor cell differentiation; and positive regulation of translation. Located in nucleoplasm. Part of RNA N6-methyladenosine methyltransferase complex.
This antibody is validated for use in WB, IHC-P, ELISA, IF-P applications and has demonstrated reactivity against Human, Mouse, Rat samples.
Product Name:
METTL14 Antibody
SKU:
CAB8530
Size:
100μL, 20μL
Reactivity:
Human, Mouse, Rat
Conjugate:
Unconjugated
Immunogen:
Recombinant protein (or fragment).This information is considered to be commercially sensitive.
Tested Applications:
WBIHC-PELISAIF-P
Recommended Dilution:
WB
1:500 - 1:1000
IF-P
1:100 - 1:200
IHC-P
1:50 - 1:200
ELISA
Recommended starting concentration is 1 μg/mL. Please optimize the concentration based on your specific assay requirements.
Synonyms:
hMETTL14, METTL14
Positive Sample:
Mouse testis, Rat testis
Cellular Localization:
Nucleus.
Calculated MW:
52kDa
Observed MW:
65kDa
Enables mRNA binding activity. Contributes to mRNA (2'-O-methyladenosine-N6-)-methyltransferase activity. Involved in mRNA metabolic process; negative regulation of hematopoietic progenitor cell differentiation; and positive regulation of translation. Located in nucleoplasm. Part of RNA N6-methyladenosine methyltransferase complex.
Purification Method
Affinity purification
Gene ID
57721
RRID
AB_2715536
Buffer Information
Store at -20℃. Avoid freeze / thaw cycles. Buffer: PBS containing 50% glycerol, preserved with proclin300 or sodium azide, pH 7.3.
Western blot analysis of various lysates, using METTL14 Rabbit pAb (CAB8530) at 1:500 dilution. Secondary antibody: HRP-conjugated Goat anti-Rabbit IgG (H+L) (AS014) at 1:10000 dilution. Lysates/proteins: 25μg per lane. Blocking buffer: 3% nonfat dry milk in TBST. Detection: ECL Basic Kit (AbGn00020). Exposure time: 5s.
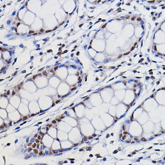
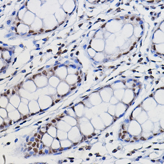
Immunohistochemistry analysis of paraffin-embedded Human colon using METTL14 Rabbit pAb (CAB8530) at dilution of 1:100 (40x lens). High pressure antigen retrieval performed with 0.01M Citrate buffer (pH 6.0) prior to IHC staining.
Immunohistochemistry analysis of paraffin-embedded Human colon using METTL14 Rabbit pAb (CAB8530) at dilution of 1:100 (40x lens). High pressure antigen retrieval performed with 0.01M Citrate buffer (pH 6.0) prior to IHC staining.
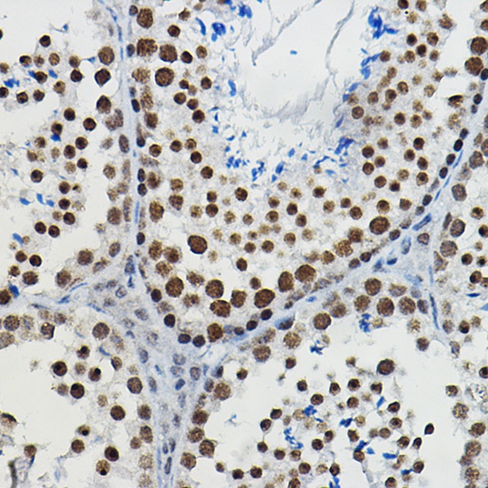
Immunohistochemistry analysis of paraffin-embedded Mouse testis using METTL14 Rabbit pAb (CAB8530) at dilution of 1:100 (40x lens). High pressure antigen retrieval performed with 0.01M Citrate buffer (pH 6.0) prior to IHC staining.
Immunofluorescence analysis of Mouse brain tissue using METTL14 Rabbit pAb (CAB8530) at a dilution of 1:100 (40x lens). Secondary antibody: Cy3-conjugated Goat anti-Rabbit IgG (H+L)(AS007) at 1:500 dilution. Blue: DAPI for nuclear staining. Microwave antigen retrieval performed with 0.01M Citrate Buffer (pH 6.0) prior to IF staining.