The CHN1 Antibody (CAB7546) is a high-quality antibody developed for reliable detection and analysis of target proteins. This gene encodes GTPase-activating protein for ras-related p21-rac and a phorbol ester receptor. It is predominantly expressed in neurons, and plays an important role in neuronal signal-transduction mechanisms. Mutations in this gene are associated with Duane's retraction syndrome 2 (DURS2). Alternatively spliced transcript variants encoding different isoforms have been described for this gene.
This antibody is validated for use in WB, ELISA applications and has demonstrated reactivity against Human, Mouse, Rat samples.
Product Name:
CHN1 Antibody
SKU:
CAB7546
Size:
100μL, 20μL
Reactivity:
Human, Mouse, Rat
Conjugate:
Unconjugated
Immunogen:
Recombinant protein (or fragment).This information is considered to be commercially sensitive.
Tested Applications:
WBELISA
Recommended Dilution:
WB
1:500 - 1:2000
ELISA
Recommended starting concentration is 1 μg/mL. Please optimize the concentration based on your specific assay requirements.
This gene encodes GTPase-activating protein for ras-related p21-rac and a phorbol ester receptor. It is predominantly expressed in neurons, and plays an important role in neuronal signal-transduction mechanisms. Mutations in this gene are associated with Duane's retraction syndrome 2 (DURS2). Alternatively spliced transcript variants encoding different isoforms have been described for this gene.
Purification Method
Affinity purification
Gene ID
1123
RRID
AB_2768071
Buffer Information
Store at -20℃. Avoid freeze / thaw cycles. Buffer: PBS containing 50% glycerol, preserved with proclin300 or sodium azide, pH 7.3.
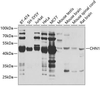
Western blot analysis of various lysates using CHN1 Rabbit pAb (CAB7546) at 1:1000 dilution. Secondary antibody: HRP-conjugated Goat anti-Rabbit IgG (H+L) (AS014) at 1:10000 dilution. Lysates/proteins: 25μg per lane. Blocking buffer: 3% nonfat dry milk in TBST. Detection: ECL Basic Kit (AbGn00020). Exposure time: 5s.