The NAA50 Antibody (CAB4996) is a high-quality antibody developed for reliable detection and analysis of target proteins. Enables H4 histone acetyltransferase activity; peptide alpha-N-acetyltransferase activity; and peptidyl-lysine acetyltransferase activity. Involved in N-terminal protein amino acid acetylation; establishment of mitotic sister chromatid cohesion; and mitotic sister chromatid cohesion, centromeric. Located in cytosol and nucleus. Part of NatA complex.
This antibody is validated for use in WB, IHC-P, IF/ICC, ELISA applications and has demonstrated reactivity against Human, Mouse, Rat samples.
Product Name:
NAA50 Antibody
SKU:
CAB4996
Size:
100μL, 20μL
Reactivity:
Human, Mouse, Rat
Conjugate:
Unconjugated
Immunogen:
Recombinant protein (or fragment).This information is considered to be commercially sensitive.
Tested Applications:
WBIHC-PIF/ICCELISA
Recommended Dilution:
WB
1:200 - 1:2000
IHC-P
1:50 - 1:200
IF/ICC
1:50 - 1:200
ELISA
Recommended starting concentration is 1 μg/mL. Please optimize the concentration based on your specific assay requirements.
Enables H4 histone acetyltransferase activity; peptide alpha-N-acetyltransferase activity; and peptidyl-lysine acetyltransferase activity. Involved in N-terminal protein amino acid acetylation; establishment of mitotic sister chromatid cohesion; and mitotic sister chromatid cohesion, centromeric. Located in cytosol and nucleus. Part of NatA complex.
Purification Method
Affinity purification
Gene ID
80218
RRID
AB_2765979
Buffer Information
Store at -20℃. Avoid freeze / thaw cycles. Buffer: PBS containing 50% glycerol, preserved with proclin300 or sodium azide, pH 7.3.
Western blot analysis of various lysates using NAA50 Rabbit pAb (CAB4996) at 1:1000 dilution. Secondary antibody: HRP-conjugated Goat anti-Rabbit IgG (H+L) (AS014) at 1:10000 dilution. Lysates/proteins: 25μg per lane. Blocking buffer: 3% nonfat dry milk in TBST. Detection: ECL Enhanced Kit (AbGn00021). Exposure time: 90s.
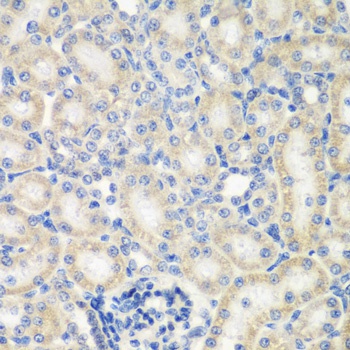
Immunohistochemistry analysis of paraffin-embedded Rat kidney using NAA50 Rabbit pAb (CAB4996) at dilution of 1:200 (40x lens). Microwave antigen retrieval performed with 0.01M PBS Buffer (pH 7.2) prior to IHC staining.
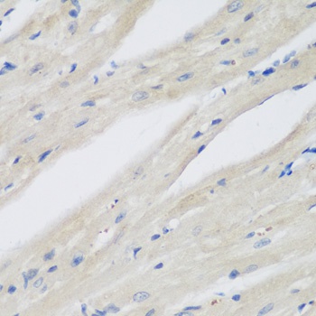
Immunohistochemistry analysis of paraffin-embedded Mouse heart using NAA50 Rabbit pAb (CAB4996) at dilution of 1:200 (40x lens). Microwave antigen retrieval performed with 0.01M PBS Buffer (pH 7.2) prior to IHC staining.
Immunofluorescence analysis of A549 cells using NAA50 Rabbit pAb (CAB4996). Secondary antibody: Cy3-conjugated Goat anti-Rabbit IgG (H+L) (AS007) at 1:500 dilution. Blue: DAPI for nuclear staining.