Description
NCDN Antibody (PACO57880)
The NCDN polyclonal antibody (PAC057880) is a valuable tool for researchers studying the NCDN protein, which plays a key role in neuronal development and function. This rabbit-raised antibody is highly specific to human samples and has been validated for use in Western blot applications. By binding to the NCDN protein, this antibody allows for accurate detection and analysis in various cell types, facilitating research in neuroscience and neurodevelopmental disorders.NCDN, also referred to as Neurite Outgrowth Inhibitor, is essential for the regulation of neurite outgrowth and synaptic plasticity in the brain.
Dysregulation of NCDN has been implicated in neurodevelopmental disorders such as autism and schizophrenia, making it a target of interest for researchers in the field. Understanding the function of NCDN is crucial for advancing our knowledge of brain development and potentially identifying new therapeutic targets for neurological conditions.
| Antibody Name: | NCDN Antibody (PACO57880) |
| Antibody SKU: | PACO57880 |
| Size: | 50ug |
| Host Species: | Rabbit |
| Tested Applications: | ELISA, WB, IHC, IF |
| Recommended Dilutions: | ELISA:1:2000-1:10000, WB:1:500-1:5000, IHC:1:500-1:1000, IF:1:50-1:200 |
| Species Reactivity: | Human, Rat |
| Immunogen: | Recombinant Human Neurochondrin protein (403-516AA) |
| Form: | Liquid |
| Storage Buffer: | Preservative: 0.03% Proclin 300 Constituents: 50% Glycerol, 0.01M PBS, pH 7.4 |
| Purification Method: | >95%, Protein G purified |
| Clonality: | Polyclonal |
| Isotype: | IgG |
| Conjugate: | Non-conjugated |
![]() | Western Blot. Positive WB detected in: SH-SY5Y whole cell lysate, U251 whole cell lysate, Rat brain tissue. All lanes: NCDN antibody at 2.6µg/ml. Secondary. Goat polyclonal to rabbit IgG at 1/50000 dilution. Predicted band size: 79, 78, 80 kDa. Observed band size: 79 kDa. |
![]() | Immunofluorescence staining of HepG2 cells with PACO57880 at 1:166, counter-stained with DAPI. The cells were fixed in 4% formaldehyde, permeabilized using 0.2% Triton X-100 and blocked in 10% normal Goat Serum. The cells were then incubated with the antibody overnight at 4°C. The secondary antibody was Alexa Fluor 488-congugated AffiniPure Goat Anti-Rabbit IgG(H+L). |
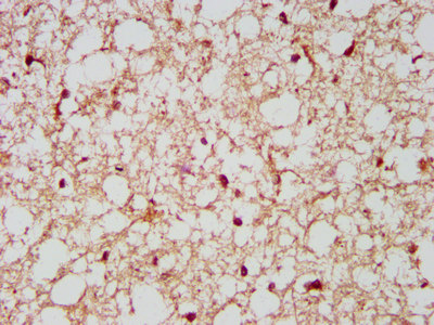
![]() | IHC image of PACO57880 diluted at 1:500 and staining in paraffin-embedded human brain tissue performed on a Leica BondTM system. After dewaxing and hydration, antigen retrieval was mediated by high pressure in a citrate buffer (pH 6.0). Section was blocked with 10% normal goat serum 30min at RT. Then primary antibody (1% BSA) was incubated at 4°C overnight. The primary is detected by a biotinylated secondary antibody and visualized using an HRP conjugated SP system. |
| Background: | Probably involved in signal transduction, in the nervous system, via increasing cell surface localization of GRM5 and positively regulating its signaling (By similarity). Required for the spatial learning process. Acts as a negative regulator of Ca(2+)-calmodulin-dependent protein kinase 2 (CaMK2) phosphorylation. May play a role in modulating melanin-concentrating hormone-mediated functions via its interaction with MCHR1 that interferes with G protein-coupled signal transduction. May be involved in bone metabolism. May also be involved in neurite outgrowth. |
| Synonyms: | Neurochondrin, NCDN, KIAA0607 |
| UniProt Protein Function: | NCDN: Probably involved in signal transduction, in the nervous system, via increasing cell surface localization of GRM5 and positively regulating its signaling. Required for the spatial learning process. Acts as a negative regulator of Ca(2+)-calmodulin-dependent protein kinase 2 (CaMK2) phosphorylation. May play a role in modulating melanin- concentrating hormone-mediated functions via its interaction with MCHR1 that interferes with G protein-coupled signal transduction. May be involved in bone metabolism. May also be involved in neurite outgrowth. Belongs to the neurochondrin family. 3 isoforms of the human protein are produced by alternative splicing. |
| UniProt Protein Details: | Protein type:Inhibitor Chromosomal Location of Human Ortholog: 1p34.3 Cellular Component: axon; cell soma; cytosol; dendrite; membrane; nucleus Molecular Function:protein binding Biological Process: neurite development |
| NCBI Summary: | This gene encodes a leucine-rich cytoplasmic protein, which is highly similar to a mouse protein that negatively regulates Ca/calmodulin-dependent protein kinase II phosphorylation and may be essential for spatial learning processes. Several alternatively spliced transcript variants of this gene have been described. [provided by RefSeq, Jul 2008] |
| UniProt Code: | Q9UBB6 |
| NCBI GenInfo Identifier: | 74753219 |
| NCBI Gene ID: | 23154 |
| NCBI Accession: | Q9UBB6.1 |
| UniProt Secondary Accession: | Q9UBB6,Q9UBY2, Q9Y4A6, Q9Y4D9, D3DPR9, |
| UniProt Related Accession: | Q9UBB6 |
| Molecular Weight: | 79,158 Da |
| NCBI Full Name: | Neurochondrin |
| NCBI Synonym Full Names: | neurochondrin |
| NCBI Official Symbol: | NCDNÂ Â |
| NCBI Protein Information: | neurochondrin |
| UniProt Protein Name: | Neurochondrin |
| Protein Family: | Neurochondrin |
| UniProt Gene Name: | NCDNÂ Â |
| UniProt Entry Name: | NCDN_HUMAN |


