NT5C1A Antibody is a premium polyclonal that offers outstanding performance and reliability for demanding research applications. Rigorously validated for ELISA, IHC, this antibody ensures consistent, reproducible results across multiple experimental platforms. Demonstrates excellent reactivity with Human, Mouse samples, providing researchers with confidence in cross-species compatibility. Conveniently packaged in 50ul format to meet your experimental needs. For optimal performance, store at -20°C or -80°C and maintains stability for 12 months. Backed by rigorous quality control testing to ensure superior performance in your critical research applications.
Product Name:
NT5C1A Antibody (PACO16796)
SKU:
PACO16796
Size:
50μl
Isotype:
IgG
Host Species:
Rabbit
Reactivity:
Human, Mouse
Immunogen:
Fusion protein of Human NT5C1A
Immunogen Species:
Homo sapiens (Human)
Uniprot No:
Q9BXI3
Form:
Liquid
Tested Applications:
ELISAIHC
Recommended Dilution:
ELISA 1:2000-1:5000, IHC 1:50-1:200
Target Names:
NT5C1A
Storage Buffer:
-20°C, pH7.4 PBS, 0.05% NaN3, 40% Glycerol
Purification:
Antigen affinity purification
Conjugate:
Non-conjugated
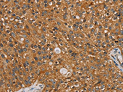
The image on the left is immunohistochemistry of paraffin-embedded Human breast cancer tissue using PACO16796 at dilution 1/25, on the right is treated with fusion protein. (Original magnification: ×200)
The image on the left is immunohistochemistry of paraffin-embedded Human esophagus cancer tissue using PACO16796 at dilution 1/25, on the right is treated with fusion protein. (Original magnification: ×200)