The OR5L1 Polyclonal Antibody (PAC038822) is specifically designed for research involving OR5L1, a member of the olfactory receptor family, which plays a key role in detecting odor molecules. This antibody, produced in rabbits, has high reactivity with human samples and has been validated for use in various applications, including Western blotting.OR5L1 is a G protein-coupled receptor that is predominantly expressed in the olfactory epithelium, where it participates in the detection and processing of odor signals. Its role in olfaction makes it an important target for studies in sensory biology and neurobiology.
The OR5L1 Polyclonal Antibody binds specifically to the OR5L1 protein, allowing for the detection and analysis of this receptor in different cell types.Research into OR5L1 and its functions can provide valuable insights into the mechanisms of smell perception and olfactory processing. Understanding the structure and function of OR5L1 may also have implications for the development of new therapies for olfactory disorders or sensory-related conditions. The OR5L1 Polyclonal Antibody is a valuable tool for researchers investigating the role of this olfactory receptor in health and disease.
Antibody Name:
OR5L1 Antibody (PACO38822)
Antibody SKU:
PACO38822
Size:
50ug
Host Species:
Rabbit
Tested Applications:
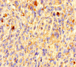
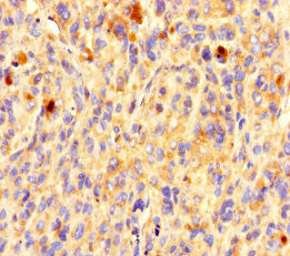
ELISA, IHC
Recommended Dilutions:
ELISA:1:2000-1:10000, IHC:1:20-1:200
Species Reactivity:
Human
Immunogen:
Recombinant Human Olfactory receptor 5L1 protein (161-196AA)
OR5L1: Odorant receptor (Potential). Belongs to the G-protein coupled receptor 1 family.Protein type: Receptor, GPCR; GPCR, family 1; Membrane protein, multi-pass; Membrane protein, integralChromosomal Location of Human Ortholog: 11q11Cellular Component: integral to membrane; plasma membraneMolecular Function: G-protein coupled receptor activity; olfactory receptor activityBiological Process: G-protein coupled receptor protein signaling pathway; detection of chemical stimulus involved in sensory perception of smell
UniProt Protein Details:
NCBI Summary:
Olfactory receptors interact with odorant molecules in the nose, to initiate a neuronal response that triggers the perception of a smell. The olfactory receptor proteins are members of a large family of G-protein-coupled receptors (GPCR) arising from single coding-exon genes. Olfactory receptors share a 7-transmembrane domain structure with many neurotransmitter and hormone receptors and are responsible for the recognition and G protein-mediated transduction of odorant signals. The olfactory receptor gene family is the largest in the genome. The nomenclature assigned to the olfactory receptor genes and proteins for this organism is independent of other organisms. This olfactory receptor gene is a segregating pseudogene, where some individuals have an allele that encodes a functional olfactory receptor, while other individuals have an allele encoding a protein that is predicted to be non-functional. [provided by RefSeq, Jun 2015]