The OTUB1 Antibody (CAB11656) is a high-quality antibody developed for reliable detection and analysis of target proteins. The product of this gene is a member of the OTU (ovarian tumor) superfamily of predicted cysteine proteases. The encoded protein is a highly specific ubiquitin iso-peptidase, and cleaves ubiquitin from branched poly-ubiquitin chains but not from ubiquitinated substrates. It interacts with another ubiquitin protease and an E3 ubiquitin ligase that inhibits cytokine gene transcription in the immune system. It is proposed to function in specific ubiquitin-dependent pathways, possibly by providing an editing function for polyubiquitin chain growth. Alternative splicing results in multiple transcript variants. RRID AB_2758666 Gene ID 55611 Swiss Prot Synonym OTB1; OTU1; HSPC263; OTUB1
This antibody is validated for use in WB, IF/ICC, ELISA applications and has demonstrated reactivity against Human, Mouse, Rat samples.
Product Name:
OTUB1 Antibody
SKU:
CAB11656
Size:
100μL, 20μL
Reactivity:
Human, Mouse, Rat
Clone Number:
-
Conjugate:
Unconjugated
Immunogen:
Recombinant protein (or fragment).This information is considered to be commercially sensitive.
Tested Applications:
WBIF/ICCELISA
Recommended Dilution:
WB
1:500 - 1:2000
IF
/
ICC
1:50 - 1:200
ELISA
Recommended starting concentration is 1 μg/mL. Please optimize the concentration based on your specific assay requirements.
The product of this gene is a member of the OTU (ovarian tumor) superfamily of predicted cysteine proteases. The encoded protein is a highly specific ubiquitin iso-peptidase, and cleaves ubiquitin from branched poly-ubiquitin chains but not from ubiquitinated substrates. It interacts with another ubiquitin protease and an E3 ubiquitin ligase that inhibits cytokine gene transcription in the immune system. It is proposed to function in specific ubiquitin-dependent pathways, possibly by providing an editing function for polyubiquitin chain growth. Alternative splicing results in multiple transcript variants. RRID AB_2758666 Gene ID 55611 Swiss Prot Synonym OTB1; OTU1; HSPC263; OTUB1
Purification Method:
Affinity purification
Gene ID:
55611
RRID:
AB_2758666
Buffer Information:
Store at -20℃. Avoid freeze / thaw cycles. Buffer: PBS with 0.01% thimerosal,50% glycerol,pH7.3.
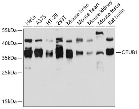
Western blot analysis of various lysates using OTUB1 Rabbit pAb (CAB11656) at 1:3000 dilution. Secondary antibody: HRP-conjugated Goat anti-Rabbit IgG (H+L) (AS014) at 1:10000 dilution. Lysates/proteins: 25μg per lane. Blocking buffer: 3% nonfat dry milk in TBST. Detection: ECL Basic Kit (AbGn00020). Exposure time: 15s.
Immunofluorescence analysis of H9C2 cells using OTUB1 Rabbit pAb (CAB11656) at dilution of 1:100. Blue: DAPI for nuclear staining.
Immunofluorescence analysis of L929 cells using OTUB1 Rabbit pAb (CAB11656) at dilution of 1:100. Blue: DAPI for nuclear staining.