PHLDB2 Antibody is a premium polyclonal that offers outstanding performance and reliability for demanding research applications. Rigorously validated for ELISA, WB, IHC, IF, this antibody ensures consistent, reproducible results across multiple experimental platforms. Demonstrates excellent reactivity with Human, Mouse samples, providing researchers with confidence in cross-species compatibility. Conveniently packaged in 50ug format to meet your experimental needs. For optimal performance, store at -20°C or -80°C and maintains stability for 12 months. Backed by rigorous quality control testing to ensure superior performance in your critical research applications.
Product Name:
PHLDB2 Antibody (PACO48678)
SKU:
PACO48678
Size:
50μg
Isotype:
IgG
Host Species:
Rabbit
Reactivity:
Human, Mouse
Immunogen:
Recombinant Human Pleckstrin homology-like domain family B member 2 protein (734-1030AA)
Immunogen Species:
Homo sapiens (Human)
Uniprot No:
Q86SQ0
Form:
Liquid
Tested Applications:
ELISAWBIHCIF
Recommended Dilution:
WB 1:500-1:5000, IHC 1:20-1:200, IF 1:50-1:200
Synonyms:
LL5 beta antibody, LL5B antibody, LL5beta antibody, PHLB2_HUMAN antibody, PHLDB2 antibody, Pleckstrin homology-like domain family B member 2 antibody, Protein LL5-beta antibody
Western Blot Positive WB detected in: Mouse liver tissue All lanes: PHLDB2 antibody at 3µg/ml Secondary Goat polyclonal to rabbit IgG at 1/50000 dilution Predicted band size: 143, 137, 140 kDa Observed band size: 143, 96 kDa
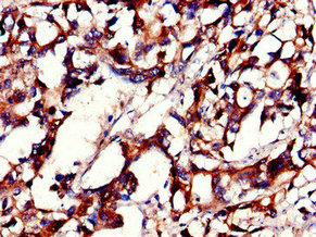
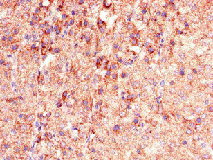
Immunohistochemistry of paraffin-embedded human adrenal gland tissue using PACO48678 at dilution of 1:100
Immunohistochemistry of paraffin-embedded human gastric cancer using PACO48678 at dilution of 1:100
Immunofluorescent analysis of HepG2 cells using PACO48678 at dilution of 1:100 and Alexa Fluor 488-congugated AffiniPure Goat Anti-Rabbit IgG(H+L)