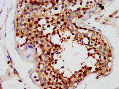
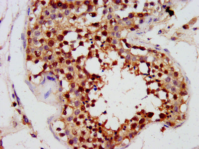
PHOX2A Antibody is a premium polyclonal that offers outstanding performance and reliability for demanding research applications. Rigorously validated for ELISA, IHC, this antibody ensures consistent, reproducible results across multiple experimental platforms. Demonstrates excellent reactivity with Human samples, providing researchers with confidence in cross-species compatibility. Conveniently packaged in 50ug format to meet your experimental needs. For optimal performance, store at -20°C or -80°C and maintains stability for 12 months. Backed by rigorous quality control testing to ensure superior performance in your critical research applications.
Product Name:
PHOX2A Antibody (PACO56924)
SKU:
PACO56924
Size:
50μg
Isotype:
IgG
Host Species:
Rabbit
Reactivity:
Human
Immunogen:
Recombinant Human Paired mesoderm homeobox protein 2A protein (150-264AA)
Immunogen Species:
Homo sapiens (Human)
Uniprot No:
O14813
Form:
Liquid
Tested Applications:
ELISAIHC
Recommended Dilution:
IHC 1:200-1:500
Synonyms:
Aristaless homeobox (Drosophila) fibrosis of extraocular muscles congenital 2 autosomal recessive antibody, Aristaless homeobox gene homolog (Drosophila) antibody, Aristaless homeobox homolog antibody, Aristaless homeobox protein homolog antibody, ARIX 1 homeodomain protein antibody, ARIX antibody, Arix homeodomain protein antibody, ARIX1 homeodomain protein antibody, CFEOM 2 antibody, CFEOM2 antibody, FEOM 2 antibody, FEOM2 antibody, Fibrosis of extraocular muscles congenital 2 autosomal recessive antibody, MGC52227 antibody, NCAM 2 antibody, NCAM2 antibody, Paired like (aristaless) Homeobox ...Read more