The PIGL Polyclonal Antibody (PAC042814) is a valuable tool for researchers studying the PIGL protein, which is essential for the biosynthesis of GPI (Glycosylphosphatidylinositol) anchors in mammalian cells. This antibody is raised in rabbits and exhibits high reactivity with human samples, making it ideal for Western blot applications.The PIGL protein is a crucial component of the GPI anchor biosynthesis pathway, which plays a vital role in anchoring various proteins to the cell surface. Dysregulation of this pathway has been linked to a range of diseases, including rare congenital disorders and cancer.
By targeting PIGL with this antibody, researchers can investigate the function of the GPI anchor pathway and its implications in disease pathology.With its high specificity and sensitivity, the PIGL Polyclonal Antibody (PAC042814) is a valuable tool for studies in cell biology, biochemistry, and cancer research. By enabling the detection and analysis of the PIGL protein in various cell types, this antibody can contribute to a better understanding of the role of GPI anchors in health and disease.
Antibody Name:
PIGL Antibody (PACO42814)
Antibody SKU:
PACO42814
Size:
50ug
Host Species:
Rabbit
Tested Applications:
ELISA, IHC
Recommended Dilutions:
ELISA:1:2000-1:10000, IHC:1:20-1:200
Species Reactivity:
Human
Immunogen:
Recombinant Human N-acetylglucosaminyl-phosphatidylinositol de-N-acetylase protein (23-252AA)
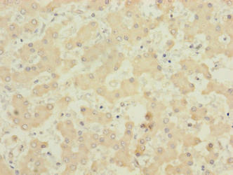
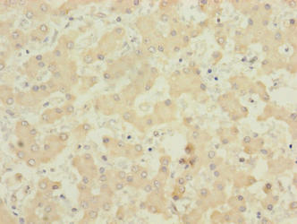
Immunohistochemistry of paraffin-embedded human liver tissue using PACO42814 at dilution of 1:100.
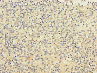
Immunohistochemistry of paraffin-embedded human spleen tissue using PACO42814 at dilution of 1:100.
Background:
Involved in the second step of GPI biosynthesis. De-N-acetylation of N-acetylglucosaminyl-phosphatidylinositol.
Synonyms:
N-acetylglucosaminyl-phosphatidylinositol de-N-acetylase (EC 3.5.1.89) (Phosphatidylinositol-glycan biosynthesis class L protein) (PIG-L), PIGL
UniProt Protein Function:
PIGL: Involved in the second step of GPI biosynthesis. De-N- acetylation of N-acetylglucosaminyl-phosphatidylinositol. Defects in PIGL are the cause of coloboma, congenital heart disease, ichthyosiform dermatosis, mental retardation and ear anomalies syndrome (CHIME). An extremely rare autosomal recessive multisystem disorder clinically characterized by colobomas, congenital heart defects, migratory ichthyosiform dermatosis, mental retardation, and ear anomalies including conductive hearing loss. Other clinical features include distinctive facial features, abnormal growth, genitourinary abnormalities, seizures, and feeding difficulties. Belongs to the PIGL family.Protein type: Deacetylase; Membrane protein, integral; Glycan Metabolism - glycosylphosphatidylinositol (GPI)-anchor biosynthesis; EC 3.5.1.89Chromosomal Location of Human Ortholog: 17p11.2Cellular Component: endoplasmic reticulum membraneMolecular Function: N-acetylglucosaminylphosphatidylinositol deacetylase activityBiological Process: preassembly of GPI anchor in ER membraneDisease: Coloboma, Congenital Heart Disease, Ichthyosiform Dermatosis, Mental Retardation, And Ear Anomalies Syndrome
UniProt Protein Details:
NCBI Summary:
This gene encodes an enzyme that catalyzes the second step of glycosylphosphatidylinositol (GPI) biosynthesis, which is the de-N-acetylation of N-acetylglucosaminylphosphatidylinositol (GlcNAc-PI). Study of a similar rat enzyme suggests that this protein localizes to the endoplasmic reticulum. [provided by RefSeq, Jul 2008]