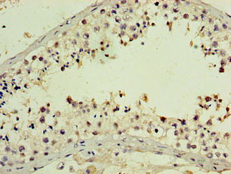
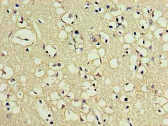
PNMA5 Antibody is a premium polyclonal that offers outstanding performance and reliability for demanding research applications. Rigorously validated for ELISA, IHC, this antibody ensures consistent, reproducible results across multiple experimental platforms. Demonstrates excellent reactivity with Human samples, providing researchers with confidence in cross-species compatibility. Conveniently packaged in 50ug format to meet your experimental needs. For optimal performance, store at -20°C or -80°C and maintains stability for 12 months. Backed by rigorous quality control testing to ensure superior performance in your critical research applications.
Product Name:
PNMA5 Antibody (PACO39882)
SKU:
PACO39882
Size:
50μg
Isotype:
IgG
Host Species:
Rabbit
Reactivity:
Human
Immunogen:
Recombinant Human Paraneoplastic antigen-like protein 5 protein (4-442AA)
Immunogen Species:
Homo sapiens (Human)
Uniprot No:
Q96PV4
Form:
Liquid
Tested Applications:
ELISAIHC
Recommended Dilution:
IHC 1:20-1:200
Synonyms:
KIAA1934 antibody, Paraneoplastic antigen like protein 5 antibody, Paraneoplastic antigen-like protein 5 antibody, Paraneoplastic Ma antigen family member 5 antibody, Pnma5 antibody, PNMA5_HUMAN antibody, Tumor antigen BJ HCC 25 antibody, Tumor antigen BJ-HCC-25 antibody