The POLR2H Antibody (CAB6948) is a high-quality antibody developed for reliable detection and analysis of target proteins. The three eukaryotic RNA polymerases are complex multisubunit enzymes that play a central role in the transcription of nuclear genes. This gene encodes an essential and highly conserved subunit of RNA polymerase II that is shared by the other two eukaryotic DNA-directed RNA polymerases, I and III. Alternative splicing results in multiple transcript variants of this gene.
This antibody is validated for use in WB, IP, ELISA applications and has demonstrated reactivity against Human, Mouse, Rat samples.
Product Name:
POLR2H Antibody
SKU:
CAB6948
Size:
100μL, 20μL
Reactivity:
Human, Mouse, Rat
Conjugate:
Unconjugated
Immunogen:
Recombinant protein (or fragment).This information is considered to be commercially sensitive.
Tested Applications:
WBIPELISA
Recommended Dilution:
WB
1:500 - 1:2000
IP
0.5μg-4μg antibody for 200μg-400μg extracts of whole cells
ELISA
Recommended starting concentration is 1 μg/mL. Please optimize the concentration based on your specific assay requirements.
The three eukaryotic RNA polymerases are complex multisubunit enzymes that play a central role in the transcription of nuclear genes. This gene encodes an essential and highly conserved subunit of RNA polymerase II that is shared by the other two eukaryotic DNA-directed RNA polymerases, I and III. Alternative splicing results in multiple transcript variants of this gene.
Purification Method
Affinity purification
Gene ID
5437
RRID
AB_2767506
Buffer Information
Store at -20℃. Avoid freeze / thaw cycles. Buffer: PBS containing 50% glycerol, preserved with proclin300 or sodium azide, pH 7.3.
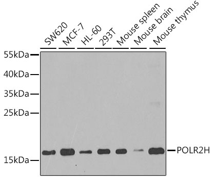
Western blot analysis of various lysates using POLR2H Rabbit pAb (CAB6948) at 1:1000 dilution. Secondary antibody: HRP-conjugated Goat anti-Rabbit IgG (H+L) (AS014) at 1:10000 dilution. Lysates/proteins: 25μg per lane. Blocking buffer: 3% nonfat dry milk in TBST. Detection: ECL Basic Kit (AbGn00020). Exposure time: 30s.
Immunoprecipitation analysis of 200 μg extracts of MCF7 cells using 1 μg POLR2H antibody (CAB6948). Western blot was performed from the immunoprecipitate using POLR2H antibody (CAB6948) at a dilution of 1:1000.