PRKCH Antibody is a premium polyclonal that offers outstanding performance and reliability for demanding research applications. Rigorously validated for ELISA, WB, IHC, this antibody ensures consistent, reproducible results across multiple experimental platforms. Demonstrates excellent reactivity with Human, Mouse, Rat samples, providing researchers with confidence in cross-species compatibility. Conveniently packaged in 50ug format to meet your experimental needs. For optimal performance, store at -20°C or -80°C and maintains stability for 12 months. Backed by rigorous quality control testing to ensure superior performance in your critical research applications.
Product Name:
PRKCH Antibody (PACO33648)
SKU:
PACO33648
Size:
50μg
Isotype:
IgG
Host Species:
Rabbit
Reactivity:
Human, Mouse, Rat
Immunogen:
Recombinant Human Protein kinase C eta type protein (1-678AA)
Immunogen Species:
Homo sapiens (Human)
Uniprot No:
P24723
Form:
Liquid
Tested Applications:
ELISAWBIHC
Recommended Dilution:
WB 1:500-1:5000, IHC 1:500-1:1000
Synonyms:
KPCL_HUMAN antibody, MGC 5363 antibody, MGC26269 antibody, MGC5363 antibody, nPKC eta antibody, nPKC-eta antibody, PKC h antibody, PKC L antibody, PKC-L antibody, PKCh antibody, PKCL antibody, Prkch antibody, PRKCL antibody, Protein kinase C eta antibody, Protein kinase C eta type antibody
Western Blot Positive WB detected in: HEK293 whole cell lysate, Jurkat whole cell lysate, MCF-7 whole cell lysate, Rat heart tissue, Rat kideny tissue, Rat stomach tissue, Mouse heart tissue, Mouse kidney tissue, Mouse stomach tissue All lanes: PRKCH antibody at 3.5µg/ml Secondary Goat polyclonal to rabbit IgG at 1/50000 dilution Predicted band size: 78, 60 kDa Observed band size: 78 kDa
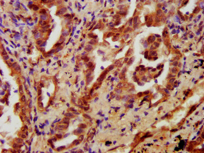
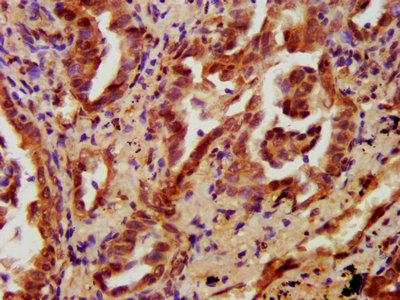
IHC image of PACO33648 diluted at 1:700 and staining in paraffin-embedded human lung cancer performed on a Leica BondTM system. After dewaxing and hydration, antigen retrieval was mediated by high pressure in a citrate buffer (pH 6.0). Section was blocked with 10% normal goat serum 30min at RT. Then primary antibody (1% BSA) was incubated at 4°C overnight. The primary is detected by a biotinylated secondary antibody and visualized using an HRP conjugated SP system.
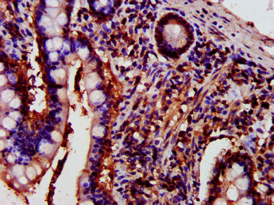
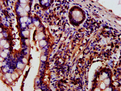
IHC image of PACO33648 diluted at 1:700 and staining in paraffin-embedded human small intestine tissue performed on a Leica BondTM system. After dewaxing and hydration, antigen retrieval was mediated by high pressure in a citrate buffer (pH 6.0). Section was blocked with 10% normal goat serum 30min at RT. Then primary antibody (1% BSA) was incubated at 4°C overnight. The primary is detected by a biotinylated secondary antibody and visualized using an HRP conjugated SP system.