The RBM15 Antibody (CAB4936) is a high-quality antibody developed for reliable detection and analysis of target proteins. Members of the SPEN (Split-end) family of proteins, including RBM15, have repressor function in several signaling pathways and may bind to RNA through interaction with spliceosome components (Hiriart et al., 2005 [PubMed 16129689]).
This antibody is validated for use in WB, IHC-P, ELISA applications and has demonstrated reactivity against Human, Mouse samples.
Product Name:
RBM15 Antibody
SKU:
CAB4936
Size:
100μL, 20μL
Reactivity:
Human, Mouse
Conjugate:
Unconjugated
Immunogen:
Recombinant protein (or fragment).This information is considered to be commercially sensitive.
Tested Applications:
WBIHC-PELISA
Recommended Dilution:
WB
1:500 - 1:2000
IHC-P
1:50 - 1:200
ELISA
Recommended starting concentration is 1 μg/mL. Please optimize the concentration based on your specific assay requirements.
Members of the SPEN (Split-end) family of proteins, including RBM15, have repressor function in several signaling pathways and may bind to RNA through interaction with spliceosome components (Hiriart et al., 2005 [PubMed 16129689]).
Purification Method
Affinity purification
Gene ID
64783
RRID
AB_2765940
Buffer Information
Store at -20℃. Avoid freeze / thaw cycles. Buffer: PBS containing 50% glycerol, preserved with proclin300 or sodium azide, pH 7.3.
Western blot analysis of various lysates using RBM15 Rabbit pAb (CAB4936) at 1:1000 dilution. Secondary antibody: HRP-conjugated Goat anti-Rabbit IgG (H+L) (AS014) at 1:10000 dilution. Lysates/proteins: 25μg per lane. Blocking buffer: 3% nonfat dry milk in TBST. Detection: ECL Basic Kit (AbGn00020). Exposure time: 10s.
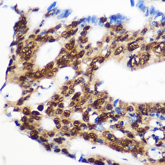
Immunohistochemistry analysis of paraffin-embedded Human colon carcinoma using RBM15 Rabbit pAb (CAB4936) at dilution of 1:100 (40x lens). Microwave antigen retrieval performed with 0.01M PBS Buffer (pH 7.2) prior to IHC staining.