The RCC1 Antibody (CAB6350) is a high-quality antibody developed for reliable detection and analysis of target proteins. Enables several functions, including guanyl-nucleotide exchange factor activity; nucleosomal DNA binding activity; and protein heterodimerization activity. Involved in several processes, including G1/S transition of mitotic cell cycle; regulation of mitotic nuclear division; and spindle organization. Located in chromatin; cytoplasm; and nucleus. Part of protein-containing complex. RRID AB_2766952 Gene ID 1104 Swiss Prot Synonym CHC1; RCC1-I; RCC1
This antibody is validated for use in WB, IHC-P, IF/ICC, ELISA applications and has demonstrated reactivity against Human, Mouse, Rat samples.
Product Name:
RCC1 Antibody
SKU:
CAB6350
Size:
100μL, 20μL
Reactivity:
Human, Mouse, Rat
Clone Number:
-
Conjugate:
Unconjugated
Immunogen:
Recombinant protein (or fragment).This information is considered to be commercially sensitive.
Tested Applications:
WBIHC-PIF/ICCELISA
Recommended Dilution:
WB
1:1000 - 1:2000
IHC-P
1:50 - 1:200
IF
/
ICC
1:50 - 1:200
ELISA
Recommended starting concentration is 1 μg/mL. Please optimize the concentration based on your specific assay requirements.
Synonyms:
CHC1, RCC1-I, RCC1
Positive Sample:
U-87MG, MCF7, HeLa, SW620, LO2
Cellular Localization:
Cytoplasm, Nucleus.
Calculated MW:
45kDa
Observed MW:
45kDa
Enables several functions, including guanyl-nucleotide exchange factor activity; nucleosomal DNA binding activity; and protein heterodimerization activity. Involved in several processes, including G1/S transition of mitotic cell cycle; regulation of mitotic nuclear division; and spindle organization. Located in chromatin; cytoplasm; and nucleus. Part of protein-containing complex. RRID AB_2766952 Gene ID 1104 Swiss Prot Synonym CHC1; RCC1-I; RCC1
Purification Method:
Affinity purification
Gene ID:
1104
RRID:
AB_2766952
Buffer Information:
Store at -20℃. Avoid freeze / thaw cycles. Buffer: PBS containing 50% glycerol, preserved with proclin300 or sodium azide, pH 7.3.
Western blot analysis of various lysates using RCC1 Rabbit pAb (CAB6350) at 1:1000 dilution. Secondary antibody: HRP-conjugated Goat anti-Rabbit IgG (H+L) (AS014) at 1:10000 dilution. Lysates/proteins: 25μg per lane. Blocking buffer: 3% nonfat dry milk in TBST. Detection: ECL Basic Kit (AbGn00020). Exposure time: 5s.
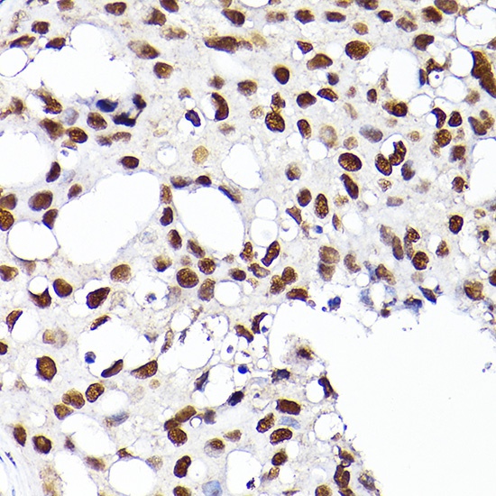
Immunohistochemistry analysis of paraffin-embedded Human breast cancer using RCC1 Rabbit pAb (CAB6350) at dilution of 1:200 (40x lens). High pressure antigen retrieval performed with 0.01M Citrate buffer (pH 6.0) prior to IHC staining.
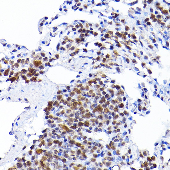
Immunohistochemistry analysis of paraffin-embedded Rat lung using RCC1 Rabbit pAb (CAB6350) at dilution of 1:200 (40x lens). High pressure antigen retrieval performed with 0.01M Citrate buffer (pH 6.0) prior to IHC staining.
Immunofluorescence analysis of HeLa cells using RCC1 Rabbit pAb (CAB6350) at dilution of 1:100. Secondary antibody: Cy3-conjugated Goat anti-Rabbit IgG (H+L) (AS007) at 1:500 dilution. Blue: DAPI for nuclear staining.