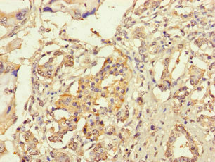
RIC1 Antibody is a premium polyclonal that offers outstanding performance and reliability for demanding research applications. Rigorously validated for ELISA, IHC, IF, this antibody ensures consistent, reproducible results across multiple experimental platforms. Demonstrates excellent reactivity with Human samples, providing researchers with confidence in cross-species compatibility. Conveniently packaged in 50ug format to meet your experimental needs. For optimal performance, store at -20°C or -80°C and maintains stability for 12 months. Backed by rigorous quality control testing to ensure superior performance in your critical research applications.
Product Name:
RIC1 Antibody (PACO46574)
SKU:
PACO46574
Size:
50μg
Isotype:
IgG
Host Species:
Rabbit
Reactivity:
Human
Immunogen:
Recombinant Human RAB6A-GEF complex partner protein 1 protein (951-1233AA)
Immunogen Species:
Homo sapiens (Human)
Uniprot No:
Q4ADV7
Form:
Liquid
Tested Applications:
ELISAIHCIF
Recommended Dilution:
IHC 1:20-1:200, IF 1:50-1:200
Synonyms:
Connexin-43-interacting protein of 150 kDa antibody, Kiaa1432 antibody, Protein RIC1 homolog antibody, RIC1_HUMAN antibody