The RSU1 Antibody (CAB11592) is a high-quality antibody developed for reliable detection and analysis of target proteins. This gene encodes a protein that is involved in the Ras signal transduction pathway, growth inhibition, and nerve-growth factor induced differentiation processes, as determined in mouse and human cell line studies. In mouse, the encoded protein was initially isolated based on its ability to inhibit v-Ras transformation. Multiple alternatively spliced transcript variants for this gene have been reported; one of these variants was found only in glioma tumors.
This antibody is validated for use in WB, ELISA applications and has demonstrated reactivity against Human, Mouse, Rat samples.
Product Name:
RSU1 Antibody
SKU:
CAB11592
Size:
100μL, 20μL
Reactivity:
Human, Mouse, Rat
Conjugate:
Unconjugated
Immunogen:
Recombinant protein (or fragment).This information is considered to be commercially sensitive.
Tested Applications:
WBELISA
Recommended Dilution:
WB
1:500 - 1:2000
ELISA
Recommended starting concentration is 1 μg/mL. Please optimize the concentration based on your specific assay requirements.
Synonyms:
RSP-1, RSU1
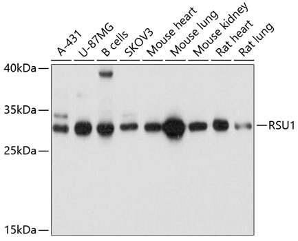
Positive Sample:
A-431, U-87MG, B cells, SKOV3, Mouse heart, Mouse lung, Mouse kidney, Rat heart, Rat lung
Cellular Localization:
Cytosol, Extracellular Exosome, Focal Adhesion.
Calculated MW:
32kDa
Observed MW:
31kDa
This gene encodes a protein that is involved in the Ras signal transduction pathway, growth inhibition, and nerve-growth factor induced differentiation processes, as determined in mouse and human cell line studies. In mouse, the encoded protein was initially isolated based on its ability to inhibit v-Ras transformation. Multiple alternatively spliced transcript variants for this gene have been reported; one of these variants was found only in glioma tumors.
Purification Method
Affinity purification
Gene ID
6251
RRID
AB_2758621
Buffer Information
Store at -20℃. Avoid freeze / thaw cycles. Buffer: PBS with 0.01% thimerosal,50% glycerol,pH7.3.
Western blot analysis of various lysates using RSU1 Rabbit pAb (CAB11592) at 1:1000 dilution. Secondary antibody: HRP-conjugated Goat anti-Rabbit IgG (H+L) (AS014) at 1:10000 dilution. Lysates/proteins: 25μg per lane. Blocking buffer: 3% nonfat dry milk in TBST. Detection: ECL Basic Kit (AbGn00020). Exposure time: 5s.