The Albumin Antibody (CAB1363) is a high-quality antibody developed for reliable detection and analysis of target proteins. This gene encodes the most abundant protein in human blood. This protein functions in the regulation of blood plasma colloid osmotic pressure and acts as a carrier protein for a wide range of endogenous molecules including hormones, fatty acids, and metabolites, as well as exogenous drugs. Additionally, this protein exhibits an esterase-like activity with broad substrate specificity. The encoded preproprotein is proteolytically processed to generate the mature protein. A peptide derived from this protein, EPI-X4, is an endogenous inhibitor of the CXCR4 chemokine receptor.
This antibody is validated for use in WB, IF/ICC, ELISA, IF-P applications and has demonstrated reactivity against Human, Mouse, Rat samples.
Product Name:
Albumin Antibody
SKU:
CAB1363
Size:
100μL, 20μL
Reactivity:
Human, Mouse, Rat
Conjugate:
Unconjugated
Immunogen:
Recombinant protein (or fragment).This information is considered to be commercially sensitive.
Tested Applications:
WBIF/ICCELISAIF-P
Recommended Dilution:
WB
1:500 - 1:1000
IF/ICC
1:50 - 1:200
IF-P
1:50 - 1:200
ELISA
Recommended starting concentration is 1 μg/mL. Please optimize the concentration based on your specific assay requirements.
Synonyms:
HSA, FDAHT, PRO0883, PRO0903, PRO1341, Albumin
Positive Sample:
HepG2, HeLa(Negative control), Mouse liver, Mouse lung, Rat liver, Rat lung
Cellular Localization:
Secreted.
Calculated MW:
69kDa
Observed MW:
69kDa
This gene encodes the most abundant protein in human blood. This protein functions in the regulation of blood plasma colloid osmotic pressure and acts as a carrier protein for a wide range of endogenous molecules including hormones, fatty acids, and metabolites, as well as exogenous drugs. Additionally, this protein exhibits an esterase-like activity with broad substrate specificity. The encoded preproprotein is proteolytically processed to generate the mature protein. A peptide derived from this protein, EPI-X4, is an endogenous inhibitor of the CXCR4 chemokine receptor.
Purification Method
Affinity purification
Gene ID
213
RRID
AB_2760491
Buffer Information
Store at -20℃. Avoid freeze / thaw cycles. Buffer: PBS containing 50% glycerol, preserved with proclin300 or sodium azide, pH 7.3.
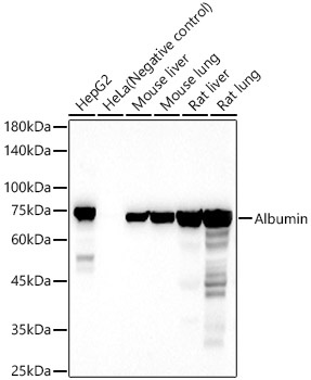
Western blot analysis of various lysates, using Albumin Rabbit pAb (CAB1363) at 1:500 dilution. Secondary antibody: HRP-conjugated Goat anti-Rabbit IgG (H+L) (AS014) at 1:10000 dilution. Lysates/proteins: 25μg per lane. Blocking buffer: 3% nonfat dry milk in TBST. Detection: ECL Basic Kit (AbGn00020). Exposure time: 30s.
Western blot analysis of lysates from Mouse liver using Albumin/ALB Rabbit pAb (CAB1363) at 1:1000 dilution. Secondary antibody: HRP-conjugated Goat anti-Rabbit IgG (H+L) (AS014) at 1:10000 dilution. Lysates/proteins: 25 μg per lane. Blocking buffer: 3% nonfat dry milk in TBST. Detection: ECL Basic Kit (AbGn00020). Exposure time: 20s.
Immunofluorescence analysis of Hep G2 cells using Albumin/ALB Rabbit pAb (CAB1363) at dilution of 1:200 (40x lens). Secondary antibody: Cy3-conjugated Goat anti-Rabbit IgG (H+L) (AS007) at 1:500 dilution. Blue: DAPI for nuclear staining.
Immunofluorescence analysis of paraffin-embedded human liver using Albumin/ALB Rabbit pAb (CAB1363) at dilution of 1:200 (40x lens). Secondary antibody: Cy3-conjugated Goat anti-Rabbit IgG (H+L) (AS007) at 1:500 dilution. Blue: DAPI for nuclear staining.