SLC38A9 Antibody is a premium polyclonal that offers outstanding performance and reliability for demanding research applications. Rigorously validated for ELISA, WB, IHC, IF, this antibody ensures consistent, reproducible results across multiple experimental platforms. Demonstrates excellent reactivity with Human samples, providing researchers with confidence in cross-species compatibility. Conveniently packaged in 50ug format to meet your experimental needs. For optimal performance, store at -20°C or -80°C and maintains stability for 12 months. Backed by rigorous quality control testing to ensure superior performance in your critical research applications.
Product Name:
SLC38A9 Antibody (PACO46882)
SKU:
PACO46882
Size:
50μg
Isotype:
IgG
Host Species:
Rabbit
Reactivity:
Human
Immunogen:
Recombinant Human Sodium-coupled neutral amino acid transporter 9 protein (1-119AA)
Western Blot Positive WB detected in: Jurkat whole cell lysate All lanes: SLC38A9 antibody at 3.5µg/ml Secondary Goat polyclonal to rabbit IgG at 1/50000 dilution Predicted band size: 64, 53, 57 kDa Observed band size: 64 kDa
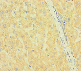
Immunohistochemistry of paraffin-embedded human liver tissue using PACO46882 at dilution of 1:100
Immunohistochemistry of paraffin-embedded human liver cancer using PACO46882 at dilution of 1:100
Immunofluorescent analysis of U251 cells using PACO46882 at dilution of 1:100 and Alexa Fluor 488-congugated AffiniPure Goat Anti-Rabbit IgG(H+L)