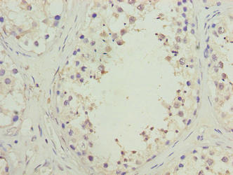
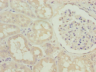
SPACA1 Antibody is a premium polyclonal that offers outstanding performance and reliability for demanding research applications. Rigorously validated for ELISA, IHC, this antibody ensures consistent, reproducible results across multiple experimental platforms. Demonstrates excellent reactivity with Human samples, providing researchers with confidence in cross-species compatibility. Conveniently packaged in 50ug format to meet your experimental needs. For optimal performance, store at -20°C or -80°C and maintains stability for 12 months. Backed by rigorous quality control testing to ensure superior performance in your critical research applications.
Product Name:
SPACA1 Antibody (PACO40610)
SKU:
PACO40610
Size:
50μg
Isotype:
IgG
Host Species:
Rabbit
Reactivity:
Human
Immunogen:
Recombinant Human Sperm acrosome membrane-associated protein 1 protein (30-221AA)
Immunogen Species:
Homo sapiens (Human)
Uniprot No:
Q9HBV2
Form:
Liquid
Tested Applications:
ELISAIHC
Recommended Dilution:
IHC 1:20-1:200
Synonyms:
SACA1_HUMAN antibody, SAMP32 antibody, SPACA1 antibody, Sperm acrosomal membrane-associated protein 32 antibody, Sperm acrosome membrane-associated protein 1 antibody