The TWF2 Polyclonal Antibody (CAB5860) is a high-quality antibody developed for reliable detection and analysis of target proteins. The protein encoded by this gene was identified by its interaction with the catalytic domain of protein kinase C-zeta. The encoded protein contains an actin-binding site and an ATP-binding site. It is most closely related to twinfilin (PTK9), a conserved actin monomer-binding protein. RRID AB_2766610 Gene ID 11344 Swiss Prot Synonym A6r; A6RP; PTK9L; MSTP011; TWF2
This antibody is validated for use in WB, ELISA applications and has demonstrated reactivity against Human, Mouse samples.
Product Name:
TWF2 Polyclonal Antibody
SKU:
CAB5860
Size:
100μL, 20μL
Reactivity:
Human, Mouse
Clone Number:
-
Conjugate:
Unconjugated
Immunogen:
Recombinant protein (or fragment).This information is considered to be commercially sensitive.
Tested Applications:
WBELISA
Recommended Dilution:
WB
1:500 - 1:2000
ELISA
Recommended starting concentration is 1 μg/mL. Please optimize the concentration based on your specific assay requirements.
The protein encoded by this gene was identified by its interaction with the catalytic domain of protein kinase C-zeta. The encoded protein contains an actin-binding site and an ATP-binding site. It is most closely related to twinfilin (PTK9), a conserved actin monomer-binding protein. RRID AB_2766610 Gene ID 11344 Swiss Prot Synonym A6r; A6RP; PTK9L; MSTP011; TWF2
Purification Method:
Affinity purification
Gene ID:
11344
RRID:
AB_2766610
Buffer Information:
Store at -20℃. Avoid freeze / thaw cycles. Buffer: PBS containing 50% glycerol, preserved with proclin300 or sodium azide, pH 7.3.
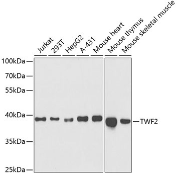
Western blot analysis of various lysates using TWF2 Rabbit pAb (CAB5860) at 1:1000 dilution. Secondary antibody: HRP-conjugated Goat anti-Rabbit IgG (H+L) (AS014) at 1:10000 dilution. Lysates/proteins: 25μg per lane. Blocking buffer: 3% nonfat dry milk in TBST. Detection: ECL Basic Kit (AbGn00020). Exposure time: 180s.
Western blot analysis of lysates from Rat skeletal muscle, using TWF2 Rabbit pAb (CAB5860) at 1:1000 dilution. Secondary antibody: HRP-conjugated Goat anti-Rabbit IgG (H+L) (AS014) at 1:10000 dilution. Lysates/proteins: 25μg per lane. Blocking buffer: 3% nonfat dry milk in TBST. Detection: ECL Basic Kit (AbGn00020). Exposure time: 30s.