The UBE2V2 Antibody (CAB6998) is a high-quality antibody developed for reliable detection and analysis of target proteins. Ubiquitin-conjugating enzyme E2 variant proteins constitute a distinct subfamily within the E2 protein family. They have sequence similarity to other ubiquitin-conjugating enzymes but lack the conserved cysteine residue that is critical for the catalytic activity of E2s. The protein encoded by this gene also shares homology with ubiquitin-conjugating enzyme E2 variant 1 and yeast MMS2 gene product. It may be involved in the differentiation of monocytes and enterocytes.
This antibody is validated for use in WB, IHC-P, ELISA applications and has demonstrated reactivity against Human, Mouse, Rat samples.
Product Name:
UBE2V2 Antibody
SKU:
CAB6998
Size:
100μL, 20μL
Reactivity:
Human, Mouse, Rat
Conjugate:
Unconjugated
Immunogen:
Recombinant protein (or fragment).This information is considered to be commercially sensitive.
Tested Applications:
WBIHC-PELISA
Recommended Dilution:
WB
1:500 - 1:2000
IHC-P
1:50 - 1:200
ELISA
Recommended starting concentration is 1 μg/mL. Please optimize the concentration based on your specific assay requirements.
Ubiquitin-conjugating enzyme E2 variant proteins constitute a distinct subfamily within the E2 protein family. They have sequence similarity to other ubiquitin-conjugating enzymes but lack the conserved cysteine residue that is critical for the catalytic activity of E2s. The protein encoded by this gene also shares homology with ubiquitin-conjugating enzyme E2 variant 1 and yeast MMS2 gene product. It may be involved in the differentiation of monocytes and enterocytes.
Purification Method
Affinity purification
Gene ID
7336
RRID
AB_2767554
Buffer Information
Store at -20℃. Avoid freeze / thaw cycles. Buffer: PBS containing 50% glycerol, preserved with proclin300 or sodium azide, pH 7.3.
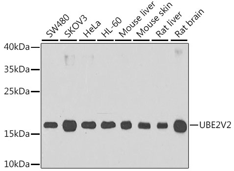
Western blot analysis of various lysates using UBE2V2 Rabbit pAb (CAB6998) at 1:1000 dilution. Secondary antibody: HRP-conjugated Goat anti-Rabbit IgG (H+L) (AS014) at 1:10000 dilution. Lysates/proteins: 25μg per lane. Blocking buffer: 3% nonfat dry milk in TBST. Detection: ECL Basic Kit (AbGn00020). Exposure time: 90s.
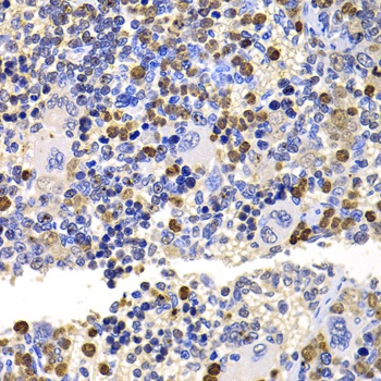
Immunohistochemistry analysis of paraffin-embedded Rat spleen using UBE2V2 Rabbit pAb (CAB6998) at dilution of 1:100 (40x lens). Microwave antigen retrieval performed with 0.01M PBS Buffer (pH 7.2) prior to IHC staining.