The UCHL1 Polyclonal Antibody (CAB2131) is a valuable tool for researchers studying UCHL1, a protein essential for protein degradation and neuron function. This antibody, generated in rabbits, exhibits high specificity and sensitivity towards UCHL1 in human samples, making it ideal for use in Western blotting and immunohistochemistry applications.UCHL1, also known as ubiquitin C-terminal hydrolase L1, is involved in the removal of abnormal or misfolded proteins, playing a crucial role in maintaining cellular homeostasis. Dysregulation of UCHL1 has been linked to neurodegenerative disorders such as Parkinson's and Alzheimer's disease, making it a promising target for therapeutic interventions.
By using the UCHL1 Polyclonal Antibody, researchers can explore the expression levels and localization of UCHL1 in various cell types and tissues, providing insights into its function and potential implications in disease pathology. This antibody serves as a reliable tool for investigating the role of UCHL1 in neurobiology and neurodegenerative diseases, paving the way for new discoveries and therapeutic advancements.
Product Name:
PGP9.5/UCHL1 Rabbit Polyclonal Antibody
SKU:
CAB2131
Size:
20uL, 100uL
Isotype:
IgG
Host Species:
Rabbit
Reactivity:
Human,Mouse,Rat
Immunogen:
Recombinant fusion protein containing a sequence corresponding to amino acids 1-220 of human PGP95/UCHL1 (NP_004172.2).
The protein encoded by this gene belongs to the peptidase C12 family. This enzyme is a thiol protease that hydrolyzes a peptide bond at the C-terminal glycine of ubiquitin. This gene is specifically expressed in the neurons and in cells of the diffuse neuroendocrine system. Mutations in this gene may be associated with Parkinson disease.
Purification Method:
Affinity purification
Gene ID:
7345
Storage Buffer:
Store at -20℃. Avoid freeze / thaw cycles.Buffer: PBS with 0.01% thimerosal,50% glycerol,pH7.3.
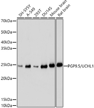
Western blot analysis of various lysates using PGP9.5/UCHL1 Rabbit pAb (CAB2131) at 1:1000 dilution.Secondary antibody: HRP Goat Anti-Rabbit IgG (H+L) (CABS014) at 1:10000 dilution.Lysates/proteins: 25μg per lane.Blocking buffer: 3% nonfat dry milk in TBST.Detection: ECL Basic Kit (AbGn00020).Exposure time: 1s.