null

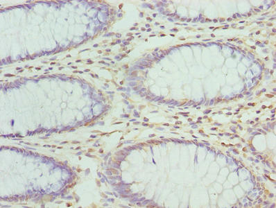
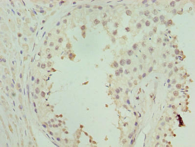
ZNF490 Antibody (PACO31340)

(No reviews yet) Write a Review
SKU:
PACO31340
Product Type:
Antibody
Reactivity:
Human
Host Species:
Rabbit
Isotype:
IgG
Applications:
ELISA
IHC
Antibody Type:
Polyclonal Antibody
Conjugation:
Unconjugated
  • ZNF490 Antibody PACO31340
  • ZNF490 Antibody PACO31340
€291
Frequently bought together:

Description

system_update_altDatasheetsystem_update_altMSDS

ZNF490 Antibody (PACO31340)

The ZNF490 Polyclonal Antibody (PAC031340) is a valuable tool for researchers studying ZNF490, a transcription factor involved in regulating gene expression. This antibody, produced in rabbits, exhibits high reactivity with human samples and has been validated for use in Western blot applications. By specifically binding to the ZNF490 protein, this antibody enables accurate detection and analysis in a variety of cell types, making it suitable for studies in molecular biology and cancer research.ZNF490, also known as a zinc finger protein, plays a crucial role in controlling gene transcription and regulating cellular processes.

Its importance in gene regulation makes it a promising target for research in various fields, including cancer biology and developmental biology. Investigating the functions of ZNF490 can provide insights into its role in disease progression and potential therapeutic strategies targeting this transcription factor.Overall, the ZNF490 Polyclonal Antibody is a reliable tool for researchers interested in exploring the functions and mechanisms of ZNF490 in cellular processes, making it a valuable resource for advancing scientific knowledge in molecular biology and related fields.

0 Reviews

View AllClose