The ADAM12 Antibody (CAB7940) is a high-quality antibody developed for reliable detection and analysis of target proteins. This gene encodes a member of a family of proteins that are structurally related to snake venom disintegrins and have been implicated in a variety of biological processes involving cell-cell and cell-matrix interactions, including fertilization, muscle development, and neurogenesis. Expression of this gene has been used as a maternal serum marker for pre-natal development. Alternative splicing results in multiple transcript variants encoding different isoforms. Shorter isoforms are secreted, while longer isoforms are membrane-bound form.
This antibody is validated for use in WB, IHC-P, IF/ICC, ELISA applications and has demonstrated reactivity against Human, Mouse, Rat samples.
Product Name:
ADAM12 Antibody
SKU:
CAB7940
Size:
100μL, 20μL
Reactivity:
Human, Mouse, Rat
Conjugate:
Unconjugated
Immunogen:
Recombinant protein (or fragment).This information is considered to be commercially sensitive.
Tested Applications:
WBIHC-PIF/ICCELISA
Recommended Dilution:
WB
1:500 - 1:2000
IHC-P
1:50 - 1:200
IF/ICC
1:50 - 1:200
ELISA
Recommended starting concentration is 1 μg/mL. Please optimize the concentration based on your specific assay requirements.
Mouse brain, Mouse thymus, Mouse fat, Mouse ovary, Rat brain
Cellular Localization:
Cell Membrane, Secreted, Single-Pass Type I Membrane Protein.
Calculated MW:
100kDa
Observed MW:
100kDa
This gene encodes a member of a family of proteins that are structurally related to snake venom disintegrins and have been implicated in a variety of biological processes involving cell-cell and cell-matrix interactions, including fertilization, muscle development, and neurogenesis. Expression of this gene has been used as a maternal serum marker for pre-natal development. Alternative splicing results in multiple transcript variants encoding different isoforms. Shorter isoforms are secreted, while longer isoforms are membrane-bound form.
Purification Method
Affinity purification
Gene ID
8038
RRID
AB_2768242
Buffer Information
Store at -20℃. Avoid freeze / thaw cycles. Buffer: Buffer: PBS containing 50% glycerol, preserved with proclin300 or sodium azide, pH 7.3.
Western blot analysis of various lysates using ADAM12 Rabbit pAb (CAB7940) at 1:1000 dilution. Secondary antibody: HRP-conjugated Goat anti-Rabbit IgG (H+L) (AS014) at 1:10000 dilution. Lysates/proteins: 25μg per lane. Blocking buffer: 3% nonfat dry milk in TBST. Detection: ECL Basic Kit (AbGn00020). Exposure time: 90s.
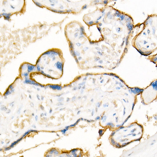
Immunohistochemistry analysis of paraffin-embedded Human placenta using ADAM12 Rabbit pAb (CAB7940) at dilution of 1:20 (40x lens). High pressure antigen retrieval performed with 0.01M Citrate buffer (pH 6.0) prior to IHC staining.
Immunofluorescence analysis of HeLa cells using ADAM12 Rabbit pAb (CAB7940) at dilution of 1:100. Blue: DAPI for nuclear staining.
Immunofluorescence analysis of NIH/3T3 cells using ADAM12 Rabbit pAb (CAB7940) at dilution of 1:100. Blue: DAPI for nuclear staining.