The 4-1BBL/CD137L Monoclonal Antibody (CAB3386) is a high-quality antibody developed for reliable detection and analysis of target proteins. The protein encoded by this gene is a cytokine that belongs to the tumor necrosis factor (TNF) ligand family. This transmembrane cytokine is a bidirectional signal transducer that acts as a ligand for TNFRSF9/4-1BB, which is a costimulatory receptor molecule in T lymphocytes. This cytokine and its receptor are involved in the antigen presentation process and in the generation of cytotoxic T cells. The receptor TNFRSF9/4-1BB is absent from resting T lymphocytes but rapidly expressed upon antigenic stimulation. The ligand encoded by this gene, TNFSF9/4-1BBL, has been shown to reactivate anergic T lymphocytes in addition to promoting T lymphocyte proliferation. This cytokine has also been shown to be required for the optimal CD8 responses in CD8 T cells. This cytokine is expressed in carcinoma cell lines, and is thought to be involved in T cell-tumor cell interaction.
This antibody is validated for use in WB, ELISA applications and has demonstrated reactivity against Human, Mouse, Rat samples.
Product Name:
4-1BBL/CD137L Monoclonal Antibody
SKU:
CAB3386
Size:
100μL, 20μL
Reactivity:
Human, Mouse, Rat
Clone Number:
ARC1963
Conjugate:
Unconjugated
Immunogen:
Synthetic peptide. This information is considered to be commercially sensitive.
Tested Applications:
WBELISA
Recommended Dilution:
WB
1:1000 - 1:4000
ELISA
Recommended starting concentration is 1 μg/mL. Please optimize the concentration based on your specific assay requirements.
Synonyms:
CD137L, TNLG5A, 4-1BB-L, 4-1BBL/CD137L
Positive Sample:
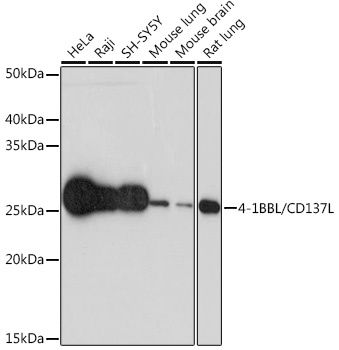
HeLa, Raji, SH-SY5Y, Mouse lung, Mouse brain, Rat lung
Cellular Localization:
Membrane, Single-Pass Type Ii Membrane Protein.
Calculated MW:
27kDa
Observed MW:
27kDa
The protein encoded by this gene is a cytokine that belongs to the tumor necrosis factor (TNF) ligand family. This transmembrane cytokine is a bidirectional signal transducer that acts as a ligand for TNFRSF9/4-1BB, which is a costimulatory receptor molecule in T lymphocytes. This cytokine and its receptor are involved in the antigen presentation process and in the generation of cytotoxic T cells. The receptor TNFRSF9/4-1BB is absent from resting T lymphocytes but rapidly expressed upon antigenic stimulation. The ligand encoded by this gene, TNFSF9/4-1BBL, has been shown to reactivate anergic T lymphocytes in addition to promoting T lymphocyte proliferation. This cytokine has also been shown to be required for the optimal CD8 responses in CD8 T cells. This cytokine is expressed in carcinoma cell lines, and is thought to be involved in T cell-tumor cell interaction.
Purification Method
Affinity purification
Gene ID
8744
RRID
AB_2863048
Buffer Information
Store at -20℃. Avoid freeze / thaw cycles. Buffer: PBS containing 50% glycerol and 0.05% BSA, preserved with proclin300 or sodium azide, pH 7.3.
Western blot analysis of various lysates using 4-1BBL/CD137L Rabbit mAb (CAB3386) at 1:1000 dilution. Secondary antibody: HRP-conjugated Goat anti-Rabbit IgG (H+L) (AS014) at 1:10000 dilution. Lysates/proteins: 25μg per lane. Blocking buffer: 3% nonfat dry milk in TBST. Detection: ECL Basic Kit (AbGn00020). Exposure time: 30s.