The Erlin-2 Monoclonal Antibody (CAB0781) is a high-quality antibody developed for reliable detection and analysis of target proteins. This gene encodes a member of the SPFH domain-containing family of lipid raft-associated proteins. The encoded protein is localized to lipid rafts of the endoplasmic reticulum and plays a critical role in inositol 1,4,5-trisphosphate (IP3) signaling by mediating ER-associated degradation of activated IP3 receptors. Mutations in this gene are a cause of spastic paraplegia-18 (SPG18). Alternatively spliced transcript variants encoding multiple isoforms have been observed for this gene.
This antibody is validated for use in WB, IHC-P, ELISA applications and has demonstrated reactivity against Human, Mouse, Rat samples.
Product Name:
Erlin-2 Monoclonal Antibody
SKU:
CAB0781
Size:
100μL, 20μL
Reactivity:
Human, Mouse, Rat
Clone Number:
ARC2538
Conjugate:
Unconjugated
Immunogen:
Synthetic peptide. This information is considered to be commercially sensitive.
Tested Applications:
WBIHC-PELISA
Recommended Dilution:
WB
1:500 - 1:1000
IHC-P
1:50 - 1:200
ELISA
Recommended starting concentration is 1 μg/mL. Please optimize the concentration based on your specific assay requirements.
Synonyms:
NET32, SPFH2, SPG18, C8orf2, Erlin-2
Positive Sample:
293T, PC-3, OVCAR3, C2C12
Cellular Localization:
Endoplasmic Reticulum Membrane, Single-Pass Type Ii Membrane Protein.
Calculated MW:
38kDa
Observed MW:
43kDa
This gene encodes a member of the SPFH domain-containing family of lipid raft-associated proteins. The encoded protein is localized to lipid rafts of the endoplasmic reticulum and plays a critical role in inositol 1,4,5-trisphosphate (IP3) signaling by mediating ER-associated degradation of activated IP3 receptors. Mutations in this gene are a cause of spastic paraplegia-18 (SPG18). Alternatively spliced transcript variants encoding multiple isoforms have been observed for this gene.
Purification Method
Affinity purification
Gene ID
11160
Buffer Information
Store at -20℃. Avoid freeze / thaw cycles. Buffer: PBS containing 50% glycerol and 0.05% BSA, preserved with proclin300 or sodium azide, pH 7.3.
Western blot analysis of various lysates using Erlin-2 Rabbit mAb (CAB0781) at 1:1000 dilution. Secondary antibody: HRP-conjugated Goat anti-Rabbit IgG (H+L) (AS014) at 1:10000 dilution. Lysates/proteins: 25μg per lane. Blocking buffer: 3% nonfat dry milk in TBST. Detection: ECL Basic Kit (AbGn00020). Exposure time: 1s.
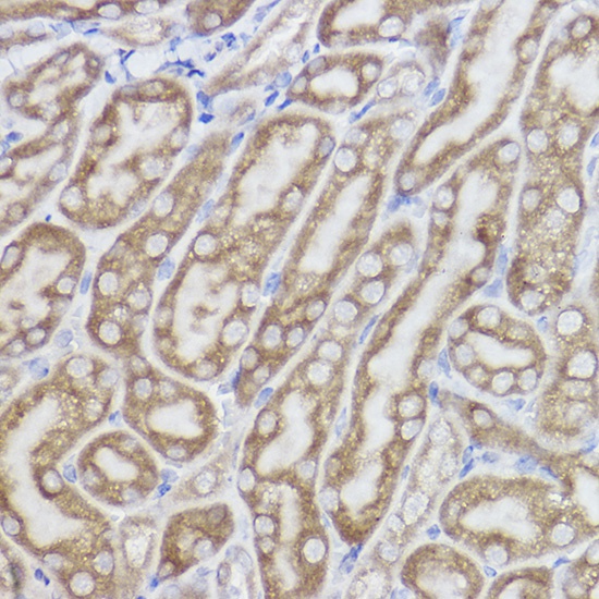
Immunohistochemistry analysis of paraffin-embedded Mouse kidney using Erlin-2 Rabbit mAb (CAB0781) at dilution of 1:100 (40x lens). High pressure antigen retrieval performed with 0.01M Citrate buffer (pH 6.0) prior to IHC staining.