The gamma-Tubulin Monoclonal Antibody (CAB9657) is a high-quality antibody developed for reliable detection and analysis of target proteins. This gene encodes a member of the tubulin superfamily. The encoded protein localizes to the centrosome where it binds to microtubules as part of a complex referred to as the gamma-tubulin ring complex. The protein mediates microtubule nucleation and is required for microtubule formation and progression of the cell cycle. A pseudogene of this gene is found on chromosome 7.
This antibody is validated for use in WB, IHC-P, IF/ICC, ELISA applications and has demonstrated reactivity against Human, Mouse, Rat samples.
Product Name:
gamma-Tubulin Monoclonal Antibody
SKU:
CAB9657
Size:
100μL, 20μL
Reactivity:
Human, Mouse, Rat
Clone Number:
ARC1684
Conjugate:
Unconjugated
Immunogen:
Recombinant protein (or fragment).This information is considered to be commercially sensitive.
Tested Applications:
WBIHC-PIF/ICCELISA
Recommended Dilution:
WB
1:1000 - 1:6000
IHC-P
1:200 - 1:2000
IF/ICC
1:100 - 1:1000
ELISA
Recommended starting concentration is 1 μg/mL. Please optimize the concentration based on your specific assay requirements.
Synonyms:
TUBG, GCP-1, CDCBM4, TUBGCP1, γ-Tubulin
Positive Sample:
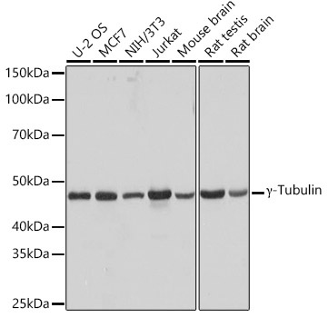
U-2 OS, MCF7, Jurkat, NIH/3T3, Mouse brain, Rat testis, Rat brain
This gene encodes a member of the tubulin superfamily. The encoded protein localizes to the centrosome where it binds to microtubules as part of a complex referred to as the gamma-tubulin ring complex. The protein mediates microtubule nucleation and is required for microtubule formation and progression of the cell cycle. A pseudogene of this gene is found on chromosome 7.
Purification Method
Affinity purification
Gene ID
7283
RRID
AB_2863751
Buffer Information
Store at -20℃. Avoid freeze / thaw cycles. Buffer: PBS containing 50% glycerol and 0.05% BSA, preserved with proclin300 or sodium azide, pH 7.3.
Western blot analysis of various lysates using γ-Tubulin Rabbit mAb (CAB9657) at 1:1000 dilution. Secondary antibody: HRP-conjugated Goat anti-Rabbit IgG (H+L) (AS014) at 1:10000 dilution. Lysates/proteins: 25μg per lane. Blocking buffer: 3% nonfat dry milk in TBST. Detection: ECL Basic Kit (AbGn00020). Exposure time: 3s.
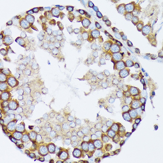
Immunohistochemistry analysis of paraffin-embedded Rat testis using γ-Tubulin Rabbit mAb (CAB9657) at dilution of 1:100 (40x lens). Microwave antigen retrieval performed with 0.01M Tris/EDTA Buffer (pH 9.0) prior to IHC staining.
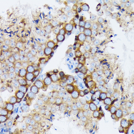
Immunohistochemistry analysis of paraffin-embedded Mouse testis using γ-Tubulin Rabbit mAb (CAB9657) at dilution of 1:100 (40x lens). Microwave antigen retrieval performed with 0.01M Tris/EDTA Buffer (pH 9.0) prior to IHC staining.
Confocal imaging of NIH-3T3 cells using γ-Tubulin Rabbit mAb (CAB9657, dilution 1:100) (Red). The cells were counterstained with Alpha-tubulin (ubiquitous) chain Rabbit mAb (AC039, dilution 1:100) (Green). DAPI was used for nuclear staining (blue). Objective: 60x.