The pan-Tri-Methyl lysine Antibody (CAB20145) is a high-quality antibody developed for reliable detection and analysis of target proteins. Methylation of lysine residues is a common regulatory post-translational modification (PTM) that results in the mono-, di-, or tri-methylation of lysine at ε-amine groups by protein lysine methyltransferases (PKMTs).The post-translational ε-amino lysine methylated proteins is an important reversible modification which plays a vital role in the regulation of many cellular processes including chromatin dynamics and gene transcription. Methylation of lysine residues is modulated by specific counteractive enzymes including lysine methylases (KMTs) and demethylases (KDMs). Lysine trimethylation occurs in both histones and non-histone substratres. It has become promising targets for discovery of anti-cancer drugs.
This antibody is validated for use in WB, IP, ChIP, ELISA applications and has demonstrated reactivity against Human, Mouse, Rat, Other (Wide Range Predicted) samples.
Product Name:
pan-Tri-Methyl lysine Antibody
SKU:
CAB20145
Size:
100μL, 20μL
Reactivity:
Human, Mouse, Rat, Other (Wide Range Predicted)
Immunogen:
Synthetic peptide. This information is considered to be commercially sensitive.
Tested Applications:
WBIPChIPELISA
Recommended Dilution:
WB
1:500 - 1:1000
IP
0.5μg-4μg antibody for 200μg-400μg extracts of whole cells
ELISA
Recommended starting concentration is 1 μg/mL. Please optimize the concentration based on your specific assay requirements.
ChIP
3μg antibody for 5μg-10μg of Chromatin
Positive Sample:
HeLa, MCF7, NIH/3T3, C6
Observed MW:
15-74kDa
Methylation of lysine residues is a common regulatory post-translational modification (PTM) that results in the mono-, di-, or tri-methylation of lysine at ε-amine groups by protein lysine methyltransferases (PKMTs).The post-translational ε-amino lysine methylated proteins is an important reversible modification which plays a vital role in the regulation of many cellular processes including chromatin dynamics and gene transcription. Methylation of lysine residues is modulated by specific counteractive enzymes including lysine methylases (KMTs) and demethylases (KDMs). Lysine trimethylation occurs in both histones and non-histone substratres. It has become promising targets for discovery of anti-cancer drugs.
Purification Method
Affinity purification
RRID
AB_2862934
Buffer Information
Store at -20℃. Avoid freeze / thaw cycles. Buffer: PBS containing 50% glycerol, preserved with proclin300 or sodium azide, pH 7.3.
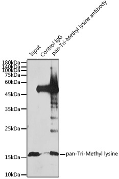
Western blot analysis of various lysates using pan-Tri-Methyl lysine Rabbit pAb (CAB20145) at 1:1000 dilution. Secondary antibody: HRP-conjugated Goat anti-Rabbit IgG (H+L) (AS014) at 1:10000 dilution. Lysates/proteins: 25μg per lane. Blocking buffer: 3% nonfat dry milk in TBST. Detection: ECL Basic Kit (AbGn00020). Exposure time: 60s.
Immunoprecipitation analysis of 1.5mg extracts of HeLa cells using 30ug pan-Tri-Methyl lysine antibody (CAB20145). Western blot was performed from the immunoprecipitate using TriMethyl-Histone H3-K27 antibody (A2363) at a dilution of 1:1000.