The PPP6C Polyclonal Antibody (CAB9336) is a valuable tool for researchers studying the PPP6C protein, a key player in cellular signaling pathways. This antibody, produced in rabbits, is highly specific to human PPP6C and has been validated for use in Western blot applications. By targeting the PPP6C protein, this antibody allows for the detection and analysis of PPP6C expression in various cell types, making it an essential tool for studies in cell signaling and disease research.PPP6C, also known as Protein Phosphatase 6 Catalytic Subunit, is involved in the regulation of crucial cellular processes such as cell cycle progression, DNA damage response, and apoptosis.
Dysregulation of PPP6C has been linked to diseases like cancer, neurodegenerative disorders, and cardiovascular diseases, making it a promising target for therapeutic interventions. Understanding the function and activity of PPP6C is necessary for uncovering its role in these diseases and developing potential treatments targeting this protein.
Product Name:
PPP6C Monoclonal Antibody
SKU:
CAB9336
Size:
20uL, 100uL
Isotype:
IgG
Host Species:
Rabbit
Reactivity:
Human,Mouse,Rat
Immunogen:
A synthetic peptide corresponding to a sequence within amino acids 206-305 of human PPP6C (O00743).
This gene encodes the catalytic subunit of protein phosphatase, a component of a signaling pathway regulating cell cycle progression. Splice variants encoding different protein isoforms exist. The pseudogene of this gene is located on chromosome X.
Purification Method:
Affinity purification
Gene ID:
5537
Clone Number:
ARC2709
Storage Buffer:
Store at -20℃. Avoid freeze / thaw cycles.Buffer: PBS with 0.02% sodium azide,0.05% BSA,50% glycerol,pH7.3.
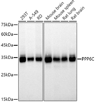
Western blot analysis of extracts of various cell lines, using (CAB9336) at 1:500 dilution.Secondary antibody: HRP Goat Anti-Rabbit IgG (H+L) (CABS014) at 1:10000 dilution.Lysates/proteins: 25μg per lane.Blocking buffer: 3% nonfat dry milk in TBST.Detection: ECL Basic Kit (AbGn00020).Exposure time: 10s.