The Arylsulfatase A Polyclonal Antibody (CAB1736) is specifically designed for research involving Arylsulfatase A, an enzyme responsible for the hydrolysis of sulfate ester bonds in cerebroside 3-sulfate and steroid sulfates. This antibody, raised in rabbits, is highly reactive with human samples and is validated for use in various applications, including Western blot and immunohistochemistry.Arylsulfatase A plays a crucial role in the metabolism of sulfated lipids and its deficiency is associated with metachromatic leukodystrophy, a rare genetic disorder affecting the nervous system.
Research on Arylsulfatase A can provide insights into the pathophysiology of this disorder and potentially lead to the development of therapeutic interventions.By utilizing the Arylsulfatase A Polyclonal Antibody (CAB1736), researchers can accurately detect and analyze the expression of Arylsulfatase A in different cell types and tissues. This antibody is a valuable tool for studies in neurobiology, lipid metabolism, and genetic disorders, offering a deeper understanding of Arylsulfatase A function and its implications in human health.
Product Name:
ARSA Rabbit Polyclonal Antibody
SKU:
CAB1736
Size:
20uL, 100uL
Isotype:
IgG
Host Species:
Rabbit
Reactivity:
Human,Mouse
Immunogen:
Recombinant fusion protein containing a sequence corresponding to amino acids 210-509 of human ARSA (NP_000478.3).
The protein encoded by this gene hydrolyzes cerebroside sulfate to cerebroside and sulfate. Defects in this gene lead to metachromatic leucodystrophy (MLD), a progressive demyelination disease which results in a variety of neurological symptoms and ultimately death. Alternatively spliced transcript variants have been described for this gene.
Purification Method:
Affinity purification
Gene ID:
410
Storage Buffer:
Store at -20℃. Avoid freeze / thaw cycles.Buffer: PBS with 0.02% sodium azide,50% glycerol,pH7.3.
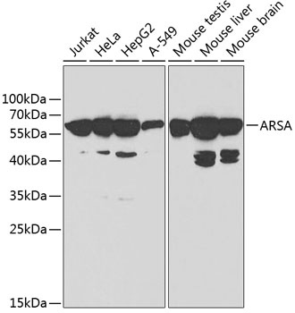
Western blot analysis of extracts of various cell lines, using ARSA antibody (CAB1736) at 1:1000 dilution.Secondary antibody: HRP Goat Anti-Rabbit IgG (H+L) (CABS014) at 1:10000 dilution.Lysates/proteins: 25μg per lane.Blocking buffer: 3% nonfat dry milk in TBST.