The Bad Monoclonal Antibody (CAB19595) is a high-quality antibody developed for reliable detection and analysis of target proteins. The protein encoded by this gene is a member of the BCL-2 family. BCL-2 family members are known to be regulators of programmed cell death. This protein positively regulates cell apoptosis by forming heterodimers with BCL-xL (B-cell lymphoma-extra large) and BCL-2, and reversing their death repressor activity. Proapoptotic activity of this protein is regulated through its phosphorylation. Protein kinases AKT and MAP kinase, as well as protein phosphatase calcineurin were found to be involved in the regulation of this protein. Alternative splicing of this gene results in two transcript variants which encode the same isoform. RRID AB_2862688 Gene ID 572 Swiss Prot Synonym BBC2; BCL2L8; Bad
This antibody is validated for use in WB, IHC-P, ELISA applications and has demonstrated reactivity against Human, Mouse, Rat samples.
Product Name:
Bad Monoclonal Antibody
SKU:
CAB19595
Size:
100μL, 20μL
Reactivity:
Human, Mouse, Rat
Clone Number:
ARC0074
Conjugate:
Unconjugated
Immunogen:
Synthetic peptide. This information is considered to be commercially sensitive.
Tested Applications:
WBIHC-PELISA
Recommended Dilution:
WB
1:1000 - 1:2000
IHC-P
1:50 - 1:200
ELISA
Recommended starting concentration is 1 μg/mL. Please optimize the concentration based on your specific assay requirements.
Synonyms:
BBC2, BCL2L8, Bad
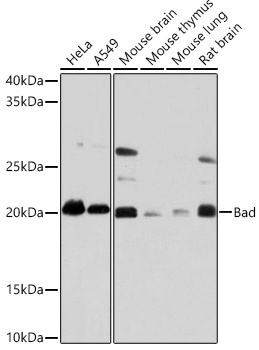
Positive Sample:
HeLa, A549, Mouse brain, Mouse thymus, Mouse lung, Rat brain
Cellular Localization:
Cytoplasm, Mitochondrion Outer Membrane.
Calculated MW:
18kDa
Observed MW:
20kDa
The protein encoded by this gene is a member of the BCL-2 family. BCL-2 family members are known to be regulators of programmed cell death. This protein positively regulates cell apoptosis by forming heterodimers with BCL-xL (B-cell lymphoma-extra large) and BCL-2, and reversing their death repressor activity. Proapoptotic activity of this protein is regulated through its phosphorylation. Protein kinases AKT and MAP kinase, as well as protein phosphatase calcineurin were found to be involved in the regulation of this protein. Alternative splicing of this gene results in two transcript variants which encode the same isoform. RRID AB_2862688 Gene ID 572 Swiss Prot Synonym BBC2; BCL2L8; Bad
Purification Method:
Affinity purification
Gene ID:
572
RRID:
AB_2862688
Buffer Information:
Store at -20℃. Avoid freeze / thaw cycles. Buffer: PBS containing 50% glycerol and 0.05% BSA, preserved with proclin300 or sodium azide, pH 7.3.
Western blot analysis of various lysates using Bad Rabbit mAb (CAB19595) at 1:1000 dilution. Secondary antibody: HRP-conjugated Goat anti-Rabbit IgG (H+L) (AS014) at 1:10000 dilution. Lysates/proteins: 25μg per lane. Blocking buffer: 3% nonfat dry milk in TBST. Detection: ECL Basic Kit (AbGn00020). Exposure time: 3min.
Immunohistochemistry analysis of paraffin-embedded Human placenta using Bad Rabbit mAb (CAB19595) at dilution of 1:100 (40x lens). Microwave antigen retrieval performed with 0.01M PBS Buffer (pH 7.2) prior to IHC staining.