The Cathepsin Z Polyclonal Antibody (CAB2681) is a valuable tool for researchers studying Cathepsin Z, a lysosomal proteinase implicated in various physiological and pathological processes. This antibody, generated in rabbits, exhibits high specificity and sensitivity for detecting Cathepsin Z in human samples, making it suitable for use in Western blot and immunohistochemistry applications.Cathepsin Z is involved in degradation of proteins within lysosomes and plays a role in antigen presentation, immune response regulation, and tissue remodeling.
Dysregulation of Cathepsin Z has been linked to diseases such as cancer, inflammatory disorders, and neurodegenerative conditions, making it a potential therapeutic target.By utilizing the Cathepsin Z Polyclonal Antibody, researchers can investigate the role of Cathepsin Z in various biological processes and diseases, leading to a better understanding of its function and potential implications for targeted therapies. This antibody is a valuable tool for studies in immunology, oncology, and other fields where Cathepsin Z is a key player.
Product Name:
CTSZ Rabbit Polyclonal Antibody
SKU:
CAB2681
Size:
20uL, 100uL
Isotype:
IgG
Host Species:
Rabbit
Reactivity:
Human,Mouse,Rat
Immunogen:
Recombinant fusion protein containing a sequence corresponding to amino acids 1-303 of human CTSZ (NP_001327.2).
The protein encoded by this gene is a lysosomal cysteine proteinase and member of the peptidase C1 family. It exhibits both carboxy-monopeptidase and carboxy-dipeptidase activities. The encoded protein has also been known as cathepsin X and cathepsin P. This gene is expressed ubiquitously in cancer cell lines and primary tumors and, like other members of this family, may be involved in tumorigenesis.
Purification Method:
Affinity purification
Gene ID:
1522
Storage Buffer:
Store at -20℃. Avoid freeze / thaw cycles.Buffer: PBS with 0.02% sodium azide,50% glycerol,pH7.3.
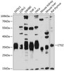
Western blot analysis of extracts of various cell lines, using CTSZ antibody (CAB2681) at 1:1000 dilution.Secondary antibody: HRP Goat Anti-Rabbit IgG (H+L) (CABS014) at 1:10000 dilution.Lysates/proteins: 25μg per lane.Blocking buffer: 3% nonfat dry milk in TBST.Detection: ECL Basic Kit (AbGn00020).Exposure time: 30s.