The CatSperε Antibody (PAC036402) is a highly specific and reliable tool for research involving CatSperε, a protein essential for sperm function and male fertility. This polyclonal antibody is raised in rabbits and has been validated for use in various applications, including immunofluorescence and immunohistochemistry.CatSperε is a key component of the CatSper ion channel complex which is involved in sperm hyperactivation and the acrosome reaction, essential processes for successful fertilization. Dysfunction of CatSperε has been linked to male infertility, making it an important target for research in reproductive biology and fertility treatments.
By using the CatSperε Antibody, researchers can accurately detect and analyze the expression and localization of CatSperε in different cell types and tissues, providing insights into its role in male reproduction. This antibody is a valuable tool for studies investigating sperm physiology, infertility mechanisms, and potential therapeutic strategies for male infertility.
Western blot. All lanes: CATSPERE antibody at 6µg/ml. Lane 1: U87 whole cell lysate. Lane 2: HepG2 whole cell lysate. Lane 3: A549 whole cell lysate. Lane 4: Mouse lung tissue. Lane 5: Mouse liver tissue. Lane 6: PC-3 whole cell lysate. Secondary. Goat polyclonal to rabbit IgG at 1/10000 dilution. Predicted band size: 110, 96, 93 kDa. Observed band size: 110 kDa.
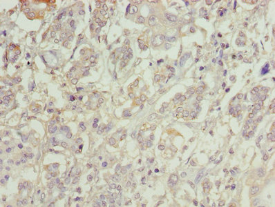
Immunohistochemistry of paraffin-embedded human pancreatic cancer using PACO36402 at dilution of 1:100.
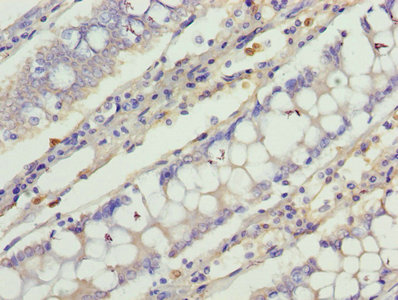
Immunohistochemistry of paraffin-embedded human colon cancer using PACO36402 at dilution of 1:100.
Background:
Auxiliary component of the CatSper complex, a complex involved in sperm cell hyperactivation. Sperm cell hyperactivation is needed for sperm motility which is essential late in the preparation of sperm for fertilization.
Synonyms:
Cation channel sperm-associated protein subunit epsilon (CatSper-epsilon) (CatSperepsilon), CATSPERE, C1orf101
UniProt Protein Function:
C1orf101: 3 isoforms of the human protein are produced by alternative splicing.Protein type: Membrane protein, integralChromosomal Location of Human Ortholog: 1q44