The CRMP2/DPYSL2 Monoclonal Antibody (CAB4411) is a high-quality antibody developed for reliable detection and analysis of target proteins. This gene encodes a member of the collapsin response mediator protein family. Collapsin response mediator proteins form homo- and hetero-tetramers and facilitate neuron guidance, growth and polarity. The encoded protein promotes microtubule assembly and is required for Sema3A-mediated growth cone collapse, and also plays a role in synaptic signaling through interactions with calcium channels. This gene has been implicated in multiple neurological disorders, and hyperphosphorylation of the encoded protein may play a key role in the development of Alzheimer's disease. Alternatively spliced transcript variants encoding multiple isoforms have been observed for this gene.
This antibody is validated for use in WB, ELISA, IF-P applications and has demonstrated reactivity against Human, Mouse, Rat samples.
Product Name:
CRMP2/DPYSL2 Monoclonal Antibody
SKU:
CAB4411
Size:
100μL, 20μL
Reactivity:
Human, Mouse, Rat
Clone Number:
ARC1123
Conjugate:
Unconjugated
Immunogen:
Synthetic peptide. This information is considered to be commercially sensitive.
Tested Applications:
WBELISAIF-P
Recommended Dilution:
WB
1:1000 - 1:5000
IF-P
1:50 - 1:200
ELISA
Recommended starting concentration is 1 μg/mL. Please optimize the concentration based on your specific assay requirements.
HeLa, Mouse lung, Mouse heart, Rat lung, Rat heart
Cellular Localization:
Cytoplasm, Membrane, Cytoskeleton, Cytosol.
Calculated MW:
62kDa
Observed MW:
62kDa
This gene encodes a member of the collapsin response mediator protein family. Collapsin response mediator proteins form homo- and hetero-tetramers and facilitate neuron guidance, growth and polarity. The encoded protein promotes microtubule assembly and is required for Sema3A-mediated growth cone collapse, and also plays a role in synaptic signaling through interactions with calcium channels. This gene has been implicated in multiple neurological disorders, and hyperphosphorylation of the encoded protein may play a key role in the development of Alzheimer's disease. Alternatively spliced transcript variants encoding multiple isoforms have been observed for this gene.
Purification Method
Affinity purification
Gene ID
1808
RRID
AB_2863267
Buffer Information
Store at -20℃. Avoid freeze / thaw cycles. Buffer: PBS containing 50% glycerol and 0.05% BSA, preserved with proclin300 or sodium azide, pH 7.3.
Western blot analysis of various lysates using CRMP2/DPYSL2 Rabbit mAb (CAB4411) at 1:1000 dilution. Secondary antibody: HRP-conjugated Goat anti-Rabbit IgG (H+L) (AS014) at 1:10000 dilution. Lysates/proteins: 25μg per lane. Blocking buffer: 3% nonfat dry milk in TBST. Detection: ECL Basic Kit (AbGn00020). Exposure time: 3s.
Western blot analysis of lysates from wild type(WT) and CRMP2/DPYSL2 knockout (KO) HeLa cells, using [KO Validated] CRMP2/DPYSL2 Rabbit mAb (CAB4411) at 1:1000 dilution. Secondary antibody: HRP-conjugated Goat anti-Rabbit IgG (H+L) (AS014) at 1:10000 dilution. Lysates/proteins: 25μg per lane. Blocking buffer: 3% nonfat dry milk in TBST. Detection: ECL Basic Kit (AbGn00020). Exposure time: 1s.
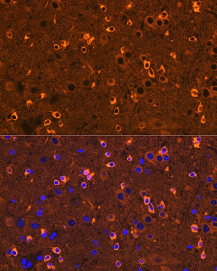
Immunofluorescence analysis of Mouse brain tissue using [KO Validated] CRMP2/DPYSL2 Rabbit pAb (CAB4411) at a dilution of 1:100 (40x lens). Secondary antibody: Cy3-conjugated Goat anti-Rabbit IgG (H+L)(AS007) at 1:500 dilution. Blue: DAPI for nuclear staining. Microwave antigen retrieval performed with 0.01M Citrate Buffer (pH 6.0) prior to IF staining.