The Casein Kinase 1 alpha (CSNK1A1) Antibody (CAB16225) is a high-quality antibody developed for reliable detection and analysis of target proteins. Enables protein serine/threonine kinase activity. Involved in several processes, including negative regulation of canonical Wnt signaling pathway; peptidyl-serine phosphorylation; and positive regulation of proteasomal ubiquitin-dependent protein catabolic process. Located in centrosome; cytosol; and nuclear speck. Part of beta-catenin destruction complex. Colocalizes with keratin filament and mRNA cleavage and polyadenylation specificity factor complex. Biomarker of Alzheimer's disease and inclusion body myositis. RRID AB_2763680 Gene ID 1452 Swiss Prot Synonym CK1; CK1a; CKIa; HLCDGP1; PRO2975; HEL-S-77p; Casein Kinase 1 alpha (CSNK1A1)
This antibody is validated for use in WB, IHC-P, IF/ICC, ELISA applications and has demonstrated reactivity against Human, Mouse, Rat samples.
Product Name:
Casein Kinase 1 alpha (CSNK1A1) Antibody
SKU:
CAB16225
Size:
100μL, 20μL
Reactivity:
Human, Mouse, Rat
Conjugate:
Unconjugated
Immunogen:
Synthetic peptide. This information is considered to be commercially sensitive.
Tested Applications:
WBIHC-PIF/ICCELISA
Recommended Dilution:
WB
1:500 - 1:2000
IHC-P
1:50 - 1:200
IF/ICC
1:50 - 1:200
ELISA
Recommended starting concentration is 1 μg/mL. Please optimize the concentration based on your specific assay requirements.
Enables protein serine/threonine kinase activity. Involved in several processes, including negative regulation of canonical Wnt signaling pathway; peptidyl-serine phosphorylation; and positive regulation of proteasomal ubiquitin-dependent protein catabolic process. Located in centrosome; cytosol; and nuclear speck. Part of beta-catenin destruction complex. Colocalizes with keratin filament and mRNA cleavage and polyadenylation specificity factor complex. Biomarker of Alzheimer's disease and inclusion body myositis. RRID AB_2763680 Gene ID 1452 Swiss Prot Synonym CK1; CK1a; CKIa; HLCDGP1; PRO2975; HEL-S-77p; Casein Kinase 1 alpha (CSNK1A1)
Purification Method
Affinity purification
Gene ID
1452
RRID
AB_2763680
Buffer Information
Store at -20℃. Avoid freeze / thaw cycles. Buffer: PBS with 0.01% thimerosal,50% glycerol,pH7.3.
Western blot analysis of various lysates using Casein Kinase 1 alpha (CSNK1A1) Rabbit pAb (CAB16225) at 1:1000 dilution. Secondary antibody: HRP-conjugated Goat anti-Rabbit IgG (H+L) (AS014) at 1:10000 dilution. Lysates/proteins: 25μg per lane. Blocking buffer: 3% nonfat dry milk in TBST. Detection: ECL Basic Kit (AbGn00020). Exposure time: 1s.
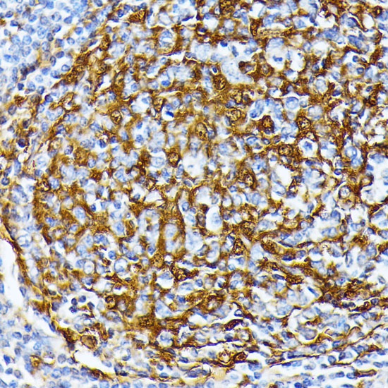
Immunohistochemistry analysis of paraffin-embedded Human tonsil using Casein Kinase 1 alpha (CSNK1A1) Rabbit pAb (CAB16225) at dilution of 1:100 (40x lens). Microwave antigen retrieval performed with 0.01M PBS Buffer (pH 7.2) prior to IHC staining.