The CYB5R1 Antibody (CAB17160) is a high-quality antibody developed for reliable detection and analysis of target proteins. Predicted to enable FAD binding activity. Predicted to be involved in bicarbonate transport. Located in extracellular exosome; membrane; and mitochondrion.
This antibody is validated for use in WB, IHC-P, ELISA applications and has demonstrated reactivity against Human, Rat samples.
Product Name:
CYB5R1 Antibody
SKU:
CAB17160
Size:
100μL, 20μL
Reactivity:
Human, Rat
Immunogen:
Recombinant protein (or fragment).This information is considered to be commercially sensitive.
Tested Applications:
WBIHC-PELISA
Recommended Dilution:
WB
1:500 - 1:2000
IHC-P
1:50 - 1:200
ELISA
Recommended starting concentration is 1 μg/mL. Please optimize the concentration based on your specific assay requirements.
Predicted to enable FAD binding activity. Predicted to be involved in bicarbonate transport. Located in extracellular exosome; membrane; and mitochondrion.
Purification Method
Affinity purification
Gene ID
51706
RRID
AB_2769091
Buffer Information
Store at -20℃. Avoid freeze / thaw cycles. Buffer: PBS with 0.01% thimerosal,50% glycerol,pH7.3.
Western blot analysis of various lysates using CYB5R1 Rabbit pAb (CAB17160) at 1:3000 dilution. Secondary antibody: HRP-conjugated Goat anti-Rabbit IgG (H+L) (AS014) at 1:10000 dilution. Lysates/proteins: 25μg per lane. Blocking buffer: 3% nonfat dry milk in TBST. Detection: ECL Basic Kit (AbGn00020). Exposure time: 90s.
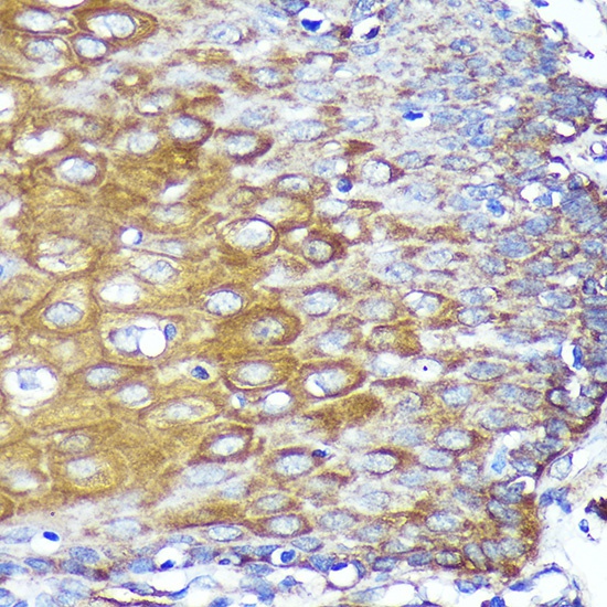
Immunohistochemistry analysis of paraffin-embedded Human esophageal using CYB5R1 Rabbit pAb (CAB17160) at dilution of 1:100 (40x lens). Microwave antigen retrieval performed with 0.01M PBS Buffer (pH 7.2) prior to IHC staining.