The EGFL7 Polyclonal Antibody (CAB9376) is a specialized tool for researchers studying EGFL7, a protein known for its role in angiogenesis and vascular development. This antibody, produced in rabbits, exhibits high specificity and sensitivity when used with human samples and is validated for Western blot applications. By binding to EGFL7, this antibody enables researchers to accurately detect and analyze the protein in various cell types, making it an essential tool for investigations in vascular biology, cancer research, and developmental biology.EGFL7, a member of the epidermal growth factor repeat family, is a key player in regulating blood vessel formation and maintaining vascular integrity. Its involvement in angiogenesis and vascular remodeling highlights its significance in various physiological and pathological processes, including tumor growth and metastasis.
By delving into the functions of EGFL7, researchers can gain insight into potential therapeutic targets for diseases characterized by abnormal blood vessel formation, such as cancer and cardiovascular disorders.Overall, the EGFL7 Polyclonal Antibody (CAB9376) serves as a valuable asset for researchers aiming to deepen their understanding of EGFL7's roles in angiogenesis, vascular biology, and disease pathogenesis. Its reliable performance and specificity make it an indispensable tool for advancing scientific discoveries in the field of biomedical research.
Product Name:
EGFL7 Rabbit Polyclonal Antibody
SKU:
CAB9376
Size:
20uL, 100uL
Isotype:
IgG
Host Species:
Rabbit
Reactivity:
Mouse,Rat
Immunogen:
Recombinant fusion protein containing a sequence corresponding to amino acids 24-100 of human EGFL7 (NP_958854.1).
Sequence:
YRPG RRVC AVRA HGDP VSES FVQR VYQP FLTT CDGH RACS TYRT IYRT AYRR SPGL APAR PRYA CCPG WKRT SGLP G
This gene encodes a secreted endothelial cell protein that contains two epidermal growth factor-like domains. The encoded protein may play a role in regulating vasculogenesis. This protein may be involved in the growth and proliferation of tumor cells. Alternate splicing results in multiple transcript variants.
Purification Method:
Affinity purification
Gene ID:
51162
Storage Buffer:
Store at -20℃. Avoid freeze / thaw cycles.Buffer: PBS with 0.01% thimerosal,50% glycerol,pH7.3.
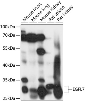
Western blot analysis of various lysates using EGFL7 Rabbit pAb (CAB9376) at 1:1000 dilution.Secondary antibody: HRP Goat Anti-Rabbit IgG (H+L) (CABS014) at 1:10000 dilution.Lysates/proteins: 25μg per lane.Blocking buffer: 3% nonfat dry milk in TBST.Detection: ECL Basic Kit (AbGn00020).Exposure time: 10s.